أسباب اصفرار الأسنان
اصفرار الأسنانهنالك العديد من مشاكل الأسنان التي يواجهها الكثير من الناس، ومن أكثر هذه المشاكل شيوعاً مشكلة اصفرار الأسنان والتي تسبب الإحراج لأصحابها بسبب
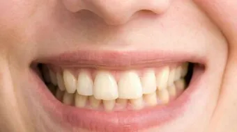
اصفرار الأسنان
هنالك العديد من مشاكل الأسنان التي يواجهها الكثير من الناس، ومن أكثر هذه المشاكل شيوعاً مشكلة اصفرار الأسنان والتي تسبب الإحراج لأصحابها بسبب مظهرها غير الصحي وغير الجميل، حيث إن لون الأسنان وشكلها تعكسان جمال الإنسان وأناقته، ولهذه المشكلة العديد من الأسباب، والطرق المختلفة للتخلص منها، والتي سنذكرها في هذه المقال.
أسباب اصفرار الأسنان
- جينات وراثية، بحيث يتم نقل صفة سمك الطبقة الخارجية ورفع طبقة المينا وراثياً، مما يكون هنالك احتمال كبير للإصابة باصفرار الأسنان بين أفراد العائلة.
- تآكل طبقة المينا بالأسنان مع تقدم العمر، وبالتالي سيسبب اصفرار الأسنان للكبار.
- تفاعل بعض المضادات الحيوية مع أملاح الأسنان وتصبح جزءاً منها وتصبغها باللون الأصفر، وهذا يحدث عند تناول هذه الأدوية قبل اكتمال نمو الأسنان.
- تعرض الأسنان لنسب مرتفعة من الفلوريد، سواء من الماء أو من معاجين الأسنان.
- تناول الأطعمة التي تعمل على تغيير لون الأسنان كالعنب البري، وتناول بعض المشروبات كالقهوة والشاي والكحول.
- التدخين، بسبب احتواء الدخان على التبغ المضر لصحة الأسنان ولونها.
- ترسب طبقة جيرية على الأسنان نتيجة إهمال تنظيف الأسنان بشكل يومي ومنتظم.
- الحشوات الفضية للأسنان.
- إصابة المرأة الحامل لبعض الأمراض قد يعرض جنينها لاصفرار الأسنان لاحقاً.
- العلاجات المستخدمة لمرض السرطان.
- إصابة الأسنان بنزيف داخلي نتيجة إصابتها بحادث.
- نمو طبقة المينا بأسنان الأطفال بشكل كبير نتيجة تعرضهم لصدمة نفسية.
الوقاية من اصفرار الأسنان
يمكن اتباع بعض السلوكيات الصحية للوقاية من اصفرار الأسنان، وعلاجها في حال حدوثها، ومنها: تنظيف الأسنان بشكل منتظم يومياً، الامتناع عن التدخين بشكل نهائي، علاج المشاكل الأخرى للأسنان بشكل دوري، تنظيف الأسنان فور تناول المشروبات أو الأطعمة التي تعمل على صبغها وتغيير لونها، دعك الأسنان بالليمون بشكل يومي، تنظيف الأسنان باستخدام السواك، اللجوء إلى طبيب الأسنان ومعالجتها بواسطة تبييض الأسنان بالليزر، ويمكن استخدام مبيضات الأسنان المنتشرة بشكل كبير مع الحذر، لأنها قد تسبب مشاكل أخرى للأسنان.
وصفات الطبيعية لتبييض الأسنان
- دعك الأسنان برماد الخبز مع العسل ومن ثم غسلها جيداً.
- دعك الأسنان بزيت الزيتون.
- غسل الأسنان بخليط أوراق الغار المطحونة وقشر البرتقال.
- غسل الأسنان بمعجون مصنوع من خل التفاح وبيكربونات الصوديوم.
- غسل الأسنان بمعجون مصنوع من الفراولة وبيكربونات الصوديون.
- دهن الأسنان بأوراق النعناع المضاف إليها قطرات من زيت الزيتون.
- فرك الأسنان بواسطة بودرة مصنوعة من عجن بعض أوراق الميرمية والملح.
- فرك الأسنان بقشر البرتقال.
- مضمضة الفم بمحلول بيكربونات الصوديوم والماء.
المقال السابق: سلطة الملفوف بالجزر والمايونيز
المقال التالي: طريقة عمل حلويات بسيطة وسريعة
أسباب اصفرار الأسنان: رأيكم يهمنا
0.0 / 5
0 تقييم
