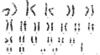
عدد الكروموسومات في متلازمة تيرنر
متلازمة تيرنرمتلازمة تيرنر أو ما يعرف باسم خلل تكوين الغدد التناسلية؛ عبارة عن اضطراب في الكروموسومات يؤدي إلى حدوث تغير في نمو الإناث، حيث يحدث نتيجة عدم
متلازمة تيرنر
متلازمة تيرنر أو ما يعرف باسم خلل تكوين الغدد التناسلية؛ عبارة عن اضطراب في الكروموسومات يؤدي إلى حدوث تغير في نمو الإناث، حيث يحدث نتيجة عدم اكتمال أو نقص كروموسوم الجنس عند الإناث، مما يؤدي إلى الإصابة بأمراض مختلفة، وفي معظم الحالات يتم تشخيص المتلازمة في مرحلة الرضاعة أو البلوغ.
عدد الكرموسومات في متلازمة تيرنر
تملك كل أنثى اثنين من الكرموسومات تعرف باسم (XX)، ويملك الذكر اثنين من الكروموسومات تعرف باسم (XY)، وبالتالي فإن العدد الطبيعي للكروموسومات عند الأنثى الطبيعية هو 46 كروموسوماً، أما في حالة الأنثى التي تولد بمتلازمة تيرنر فإنها تملك (X) واحد، وبالتالي يكون المجموع الكلي للكروموسومات هو 45 كروموسوماً.
أعراض متلازمة تيرنر
عند الولادة أو خلال مرحلة الرضاعة:
- انخفاض في الفك السفلي، وفي مستوى الأذنين، وتدلي الجفون.
- قصر طول أصابع القدم واليد، وانقلاب الأظافر للأعلى، وتورم في اليدين والقدمين عند الولادة.
- تأخر في النمو.
- نقص في الطول مقارنةً بالحد الطبيعي عند الولادة.
- خط الشعر منخفض من الخلف.
- عنق قصير ويحتوي على طيات جلدية من أعلى الكتفين حتى حواف العنق.
مرحلة البلوغ:
- قصر القامة وصعوبات في التعلم.
- اختلال في التواصل الاجتماعي.
- انقطاع الطمث في فترة مبكرة والإصابة بالعقم.
- عدم ظهور الخصائص الجنسية المرافقة لمرحلة البلوغ بسبب عدم نضوج المبيضين.
أسباب الإصابة بمتلازمة تيرنر
- الفقدان الكلي لنسخة واحدة من الكروموسوم الجنسي (X)، بسبب وجود خلل في الحيوان المنوي عند الأب أو في بويضة الأم؛ نتيجةً احتواء جميع خلايا الجسم على نسخة واحدة من الكروموسوم ذاته، أو ما يعرف باسم النمط أحادي الصباغ.
- حدوث اختلال في عملية الانقسام الخلوي في المراحل المبكرة من تطور الجنين؛ مما يؤدي إلى وجود خلايا أحادية الصبغي (X)، وخلايا أخرى تحمل نسختين منه أو ما يسمى بالنمط الفسيفسائي.
- وجود جزء من الصبغي (Y) مرتبط بأحد نُسخ الصبغي (X) في حالات نادرة.
تشخيص متلازمة تيرنر
- يتم تشخيص إصابة الجنين بالمتلازمة من خلال سحب عينة من السائل الأميوني المحيط به، أو عينة من الزغابات المشيمية ودراستها جينياً.
- يتم تشخيص الطفلة بعد الولادة بعد ملاحظة الأعراض الفيزيائية، ثمّ فحص التنميط النووي المخبري؛ حيث تستخدم خلاله عينة من دم الطفلة المُصابة للكشف عن وجود 45 كروموسوماً جسدياً، ونسخة واحدة من الصبغي (X)، أو حذف الذراع القصير للصبغي (X) .
علاج متلازمة تيرنر
- يتمثل العلاج من خلال الأدوية التي تحتوي على هرمونات:
- العمليات الجراحية وبشكل خاص بالنسبة للأطفال الذين يولدون مع ثقب في القلب، أو تضييق الشريان الأورطي لتصحيح المشكلة.
- هرمون النمو: بهدف زيادة الطول قدر الإمكان في أوقات مناسبة خلال النمو.
- هرمون الإستروجين: بهدف تحقيق النمو الجنسي، مثل الكبار.
مضاعفات متلازمة تيرنر
- عيوب خلقية في القلب.
- فقدان حاسة السمع والإصابة بطول النظر والحول.
- زيادة خطر الإصابة بأمرض القلب والشرايين.
- ارتفاع ضغط الدم.
- حدوث التهابات في المسالك البولية.
- قصور في أداء الغدة الدرقية.
- ضعف في تطور الأسنان والإصابة بمرض هشاشة العظام والانحناء الشاذ في العمود الفقري.
- الإصابة باضطرابات نفسية، مثل التوتر والاكتئاب.
ملاحظة: ينصح الأطباء مرضى متلازمة تيرنر بالمحافظة على وزن صحي، وتجنب الإصابة بالسمنة من خلال اتباع نمط حياة صحي، وإجراء الفحوصات الدورية للقلب والشرايين، وبشكل خاص من يعانون من عيوب خلقية في القلب.
المقال السابق: فوائد سمك السردين للشعر
المقال التالي: ما هي طرق فرد الشعر
عدد الكروموسومات في متلازمة تيرنر: رأيكم يهمنا
0.0 / 5
0 تقييم
