ما أسباب التهاب اللثة
التهاب اللثةيعتبر التهاب اللّثّة (Gingivitis,Odontitis) على أنه مرض يصيب اللّثّةوتكون بسبب حدوث الالتهابات سببها " بيوفيلمات بكتيريّة" ،وهي باللّويحات
التهاب اللثة
يعتبر التهاب اللّثّة (Gingivitis,Odontitis) على أنه مرض يصيب اللّثّةوتكون بسبب حدوث الالتهابات سببها " بيوفيلمات بكتيريّة" ،وهي باللّويحات السّنّيّة، التي تكون موجودة على الأسنان ، حيث تعد اللويحة الجرثومية ألا وهي البلاك هي المسبب الرئيسي لأغلب أمراض اللثة ومن هنا يجب علينا إزالة التراكمات القلحيةأو البلاك بشكل مستمر عن الأسنان حيث أنها تعد البيئة المناسبة لنمو وتواجد الجراثيم.
أعراض إلتهاب اللثة
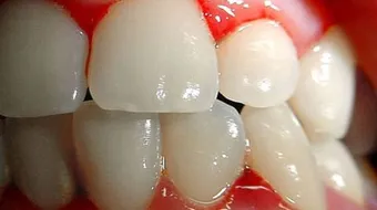
- حدوث تورّم في اللثة.
- تجد أن لون اللثة حمراء أو بنفسجية .
- تجد أن اللثة طرية أو مؤلمة عندما تلمسها .
- حدوث النزيف في اللثة أو النزيف بعد القيام بتنظيف الأسنان بالفرشاة والمعجون .
- وجود التنقير الذي على أنسجة اللثة عند بعض الاشخاص و يختفي و تصبح اللثة بشكل ناعم بسبب أنسجتها المنتفخة .
- حدوث رائحة كريهة في الفم.
- ومن أعراض التهاب اللثة الشعور بتورمها ونزفها عند التنظيف.
- قد يحدث بعض التقيحات وخروج الصديد من اللثة.
- قد يتطور من التهاب بسيط إلى التهاب لثوي يصيب الأنسجة الداعمة للعظم مما يؤدي إلى تأكل العظام.
- هذا الإلتهاب قد يؤدي إلى تعري جذور الأسنان واللثة مما يسبب حساسية شديدة في الأسنان للبارد والساخن .
- وعند تأكل العظام قد تفقد بذلك الأسنان ثباتها داخل الفك وتتخلخل وتسقط لا سمح الله فلذلك يجب عدم الاستهانة بمرض إلتهاب اللثة .
أسباب إلتهاب اللثة
- عدم الاهتمام بنظافة الأسنان وتركها لفترة طويله مما يسبب تواجد البلاك أو ما يسمى بالجير على الأسنان وتجمع الجراثيم والبكتيريا ونموها .
- ومن أسباب إلتهاب اللثة الاصابة بمرض السكر.
- من أسباب إلتهاب اللثةكثرة التدخين.
- من أسباب إلتهاب اللثة قد تكون العوامل الوراثية.
- من أسباب إلتهاب اللثة تناول بعض أنواع الأدوية.
- من أسباب إلتهاب اللثةالاصابة ببعض أمراض نقص المناعة المكتسبة .
- عدم العنايةوالاهتمام بتنظيف الفم والأسنان واللسان .
غسل الأسنان بالفرشاة والمعجون مرتين يومياً ويفضل أن يكون المعجون المستخدم يحتوي على الفلورايد و استخدام فرشاة للأسنان لها شعيرات ناعمة مع مراعاة زيارة طبيب الأسنان كل 6 شهور مرة ليتم فحص شامل لللأسنان واللثة وعلاج أي مشكلة تصيب الأسنان مع عمل تنظيف للبلاك من على الأسنان إن وجد حتى لو كان بسيط ، بالاضافة لذلك يجب عمل مضمضة للفم مرة كل يوم بالماء والملح .
المقال السابق: ما فوائد الكمون وأضراره
المقال التالي: أكبر مدينة من حيث عدد سكان سويسرا
ما أسباب التهاب اللثة: رأيكم يهمنا
0.0 / 5
0 تقييم
