أسباب التهاب اللثة
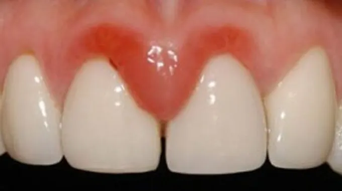
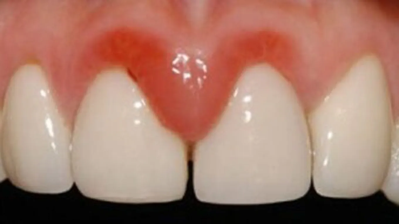
التهاب اللثةالتهاب اللثة والمسمى أيضاً بمرض دواعم الأسنان، والذي يعتبر من أكثر أمراض الفم وجعاً وألماً، ويكون مصحوباً بنزيف وتورم عام في اللثة، والأعراض خفيفة
التهاب اللثة
التهاب اللثة والمسمى أيضاً بمرض دواعم الأسنان، والذي يعتبر من أكثر أمراض الفم وجعاً وألماً، ويكون مصحوباً بنزيف وتورم عام في اللثة، والأعراض خفيفة لا يمكن ملاحظتها في بداية المرض مع وجود ألم قد يكون حاداً، والتي ينتج عن إهمالها مشاكل في الأسنان وربما خسارتها.
أعراض التهاب اللثة
ومن أشهر الأعراض المصاحبة لمرض التهاب اللثة:
- نزول الدم في كل مرة يتم فيها تنظيف الأسنان بالفرشاة.
- تورم اللثة وزيادة حساسيتها للمشروبات الباردة والساخنة.
- صدور رائحة كريهة من الفم بشكل مستمر.
- انكماش اللثة وانسحابها.
- ظهور فتحات عميقة بين اللثة وسطح السن.
- تخلخل السن وفقدانه.
- تغير في مواقع الأسنان.
- خروج الصديد والتقيحات من اللثة.
- تآكل العظم نتيجة لتطور الالتهاب اللثوي.
أسباب التهاب اللثة
- نتيجة للتغيرات الهرمونية والتي تحصل خلال فترة الحمل، سن المراهقة، بلوغ سن اليأس، خلال فترة الدورة الشهرية جميع هذه التغيرات كفيلة بزيادة حساسية الأسنان والتسبب بالتهاب اللثة.
- الإصابة ببعض الأمراض ومن أبرزها: مرض السرطان، الإيدز، السكري، جميعها تؤثر على الجهاز المناعي وتحد من قدرة الجسم على امتصاص السكر الموجود في الأغذية.
- أعراض جانبية لتناول بعض الأدوية التي تتسبب في التقليل من إنتاج الفم للعاب، والذي يلعب دوراً مهما في الحفاظ على سلامة اللثة وتخليصها من البكتيريا.
- التدخين.
- إهمال نظافة الأسنان والعناية بها.
- عوامل وراثية.
علاج اللثة بالوصفات المنزلية
هناك مجموعة متنوعة من العلاجات المنزلية ذات الفعالية في علاج التهاب اللثة في وقت قياسي ومن أبرز هذه العلاجات:
- الغرغرة بالماء والملح: يمكن تحضير هذا المحلول بإذابة قدر من الملح في كوب ماء، من شأن هذا المحلول أن يخلصك من تورم اللثة الناتجة عن التهابها.
- هلام الألو فيرا: من خلال فرك هذا الهلام على اللثة، إحدى العلاجات المنزلية للتخلص من التهاب اللثة.
- صودا الخبز: فهو فعال في القضاء على البكتيريا المسببة للالتهاب، من خلال إضافة القليل من الماء لصودا الخبز لتشكيل عجينة توضع على اللثة بواسطة أطراف الأصابع.
- القرنفل: لما يحتويه القرنفل من زيوت مطهرة قادرة على القضاء على الالتهابات، كما ويمكن أيضاً وضع القليل منه بالقرب من اللثة للتقليل من حدة الألم.
- عصير التوت البري: من شأن عصير التوت البري أن يحد من نمو البكتيريا وتكاثرها ويحافظ على صحة اللثة ويمنع ظهور الالتهابات.
- عصير الليمون: ويمكن إعداد هذا المحلول من خلال إضافة الماء لعصير الليمون والغرغرة به .
- زيت الخردل والملح: وذلك من خلال تدليك اللثة بزيت الخردل المضاف إليه الملح مع التكرار مرتين لثلاث مرات يومياً.
- مسحوق الكايين: فهو يقيد ويوقف نمو البكتيريا، كما ويعالج التهاب اللثة من خلال استخدامه مع معجون الأسنان.
- مسحوق المرمية: غلي القليل من مسحوق المرمية مع الماء، وإضافة القليل من الملح له، للحد من تورم اللثة والتهابها.
المقال السابق: وصفات للتخلص من حب الشباب
المقال التالي: كيفية التخلص من القشرة
أسباب التهاب اللثة: رأيكم يهمنا
0.0 / 5
0 تقييم
5
(0)
4
(0)
3
(0)
2
(0)
1
(0)
