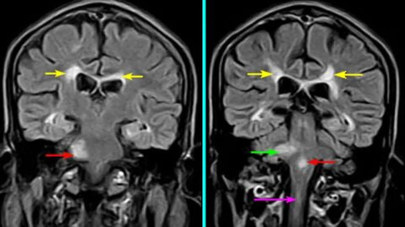
ضمور المخيخ
ضمور المخيخيحتوي العقل البشري من حوالي أربعة عشر مليون خلية عصبية، وعشرة أضعاف هذه الخلايا موجودة للتحكم بالأعصاب، وتنقسم هذه الخلايا إلى خلايا طرفية ومركزية،
ضمور المخيخ
يحتوي العقل البشري من حوالي أربعة عشر مليون خلية عصبية، وعشرة أضعاف هذه الخلايا موجودة للتحكم بالأعصاب، وتنقسم هذه الخلايا إلى خلايا طرفية ومركزية، تتكون الخلايا المركزية من المخ، والدماغ الأوسط، والأجزاء من الدماغ التي تتحكم بحركة الجسم هي المخيخ، والعصب الدماغي، والنخاع الشوكي، والمخيخ هو الجزء الخلفي من الدماغ وهو أصغر من المخ ويعمل على تنفيذ الأوامر التي يتلقاها من المخ، ويساعد في حفظ التوازن، وضمور المخيخ هو مرض وراثي يصيب الدماغ ويؤثرعلى حركة الجسم وقد يقعد المريض عن الحركة، ويترافق مع أمراض عديدة مثل الشلل الرعاش والعديد من المشاكل التي تؤثر على قدرة المريض على أن يعيش حياة طبيعية.
الفحوصات الازم إجراؤها: عمل تحليل وراثي للعائلة وذلك بعمل تحليل للدم ومعرفة الخريطة الجينية، واحتمالية إصابة أفراد آخرين بنفس المرض.
أعراض الإصابة بضمور المخيخ
- خلل في التوازن أثناء المشي أو الترنح، ويؤدي إلى كثرة السقوط ومع تقدم المرض يحتاج المريض إلى استعمال الكرسي المتحرك، وبعد ذلك يفقد المريض القدرة على الحركة.
- عدم وجود تناسق بين الحركات العضلية للذراعين مما يسبب صعوبات في الكتابة ومن ثم يفقد هذه القدرة كلياً.
- بطء حركة العينين وعدم القدرة على تحديد المسافات.
- تشنج المريض وتعتبر هذه الأعراض من العلامات المبكرة لضمور المخيخ.
- مع تقدم المرض يصاب المريض بصعوبة في البلع.
- لا يستطيع المريض الحديث بصورة واضحة.
- ضعف أو فقدان في الذاكرة.
- الإصابة بالشلل الرعاش.
- الإصابة بمرض التصلب.
- الشعور بالاكتئاب.
- يعاني المريض من إضطرابات النوم.
أعراض الإصابة عند الأطفال
- حركات بطيئة وغير ثابتة عند الرضّع.
- تأخّر في نمو الطفل.
- عدم توازن الطفل.
أسباب الإصابة بالمرض
- خلل في الجينات الوراثية.
- الجلطات ونقص تروية المخيخ.
- الإصابة بمرض التصلب اللويحي.
- إدمان الكحول.
- اعتلالات الدماغ.
طرق العلاج
لا يوجد حتى الآن دواء شافي لمرض ضمور المخيخ والحبل الشوكي، ولكن هناك بعض الأدوية التي تساعد في التخفيف من الأعراض.
- بوسبيرون: يساعد هذا الدواء في تهدئة الاعصاب، ويحسن من قدرة المريض على المشي.
- بريميدون: يساعد هذا العلاج في تخفيف الحركات الاإرادية، ويحسن من حركة المريض وقدرته على التحكم بأطرافه.
- يوجد بعض الأجهزة التي تساعد المريض في الاعتماد على نفسه في أداء مهماته اليومية مثل العكاز، والكرسي المتحرك.
- يوجد بعض الأجهزة التي تساعد على الكتابة، وتناول الوجبات، والعناية بالنظافة الشخصية في حالة إصابة أعصاب الدماغ.
- تساعد تمارين العلاج الطبيعي في تحسن حالة الكثير من المرضى.
فيديو أعراض ضمور الدماغ
المقال السابق: كيفية كتابة خاطرة
المقال التالي: ما هي طرق تخفيف الوزن
ضمور المخيخ: رأيكم يهمنا
0.0 / 5
0 تقييم
