إزالة جير الأسنان بدون طبيب
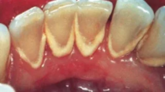
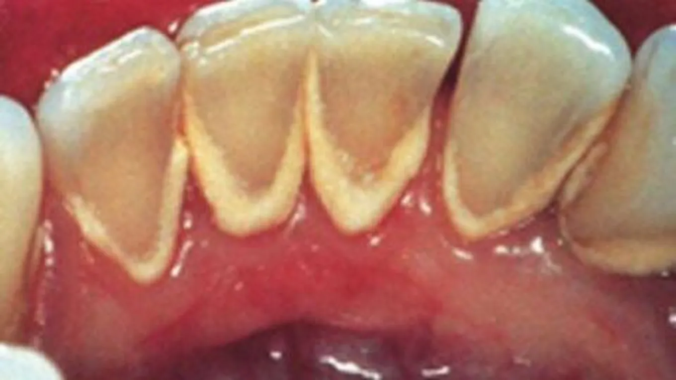
جير الأسنانينتج جير الأسنان (بالإنجليزية: calculus) من تصلب طبقة البلاك التي تتكون على أسطح الأسنان، وتعتبر طبقة البلاك طبقة رقيقة لزجة مكوّنة من خليطٍ من
جير الأسنان
ينتج جير الأسنان (بالإنجليزية: calculus) من تصلب طبقة البلاك التي تتكون على أسطح الأسنان، وتعتبر طبقة البلاك طبقة رقيقة لزجة مكوّنة من خليطٍ من البروتينات وبقايا الطعام والبكتيريا، وتلتصق هذه الطبقة بأسطح الأسنان والحشوات السنية وتمتد لتصل إلى خط اللثة وما تحته،[1] وتقوم البكتيريا الموجودة في طبقة البلاك على إنتاج أحماض تتسبب بحدوث تسوّس الأسنان وتهيج اللثة، ويؤدي تهيج اللثة إلى حدوث أمراض الّلثة مثل التهاب الّلثة والتهاب دواعم السن (بالإنجليزية: Periodontitis)،[2] وتتميز طبقة جير الأسنان بأنها طبقةٌ خشنةٌ ومساميةٌ، ويتكون الجير فوق اللثة أو تحتها، ويؤدي وجود جير الأسنان إلى حدوث انحسار اللثة، ولذلك لا بد من إزالته.[1]
إزالة جير الأسنان بدون طبيب
إن تفريش الأسنان والتنظيف بينها بواسطة خيط الأسنان الطبي يمنع تكون طبقة البلاك وتجمعها على الأسنان وبالتالي يمنع تصلبها وتحوّلها إلى الجير، ولكن لا بد من العِلم أنه في حال تصلب البلاك وتكوّن الجير، فإنه لا توجد طريقةٌ لإزالته إلا من قبل الطبيب، حيث يقوم أخصائي صحة الأسنان بإزالة البلاك والجير الموجود حول الأسنان وبينها باستخدام أداةٍ تسمى المِقلحة (بالإنجليزية: Scaler)، وكلما كانت كمية الجير أكبر، كان الوقت المُستغرق في إزالتها أطول.[3]
طرق إزالة جير الأسنان في عيادة طبيب الأسنان
الإنضار الميكانيكي
يعد الإنضار الميكانيكي (بالإنجليزية: Mechanical debridement) طريقة علاجية تقليدية غير جراحية، ويعتبر من أهم الطرق المستخدمة في علاج أمراض اللثة، وتتم خلال عملية الإنضار إزالة أعدادٍ كبيرةٍ من البكتيريا من الجيوب الّلثوية بالإضافة لإزالة الترسبات الصُلبة مثل الجير، وهناك نوعان من الأدوات المستخدمة في هذه الطريقة،[4] هما كالآتي:
- الأدوات اليدوية (بالإنجليزية: Hand instruments)، ومن أهم هذه الأدوات المِقلحة بأنواعها؛ المقلحة فوق اللّثوية، والمِقلحة السطحية، والمِقلحة الأمامية المنجلية، والمِقلحة الخلفية المنجلية، والمقلحة الشاملة، والنوع الثاني من الأدوات هو المِكحت (بالإنجليزية: Curette)، وله عدد من الأنواع منها مكحت غريسي (بالإنجليزية: Gracey curette)، والمكحت الشامل، ولهذه الأدوات القدرة على تنظيف الجير المتراكم تحت اللّثة، ويستخدم المكحت لتنظيف الجذر في عمليةٍ تُسمى كشط الجذر (بالإنجليزية: Root planning)،[4] التي يتم فيها تنعيم وصقل سطح الجذر لإعطاء الفرصة لأنسجة اللثة كي تلتحم بسطح الجذر.[5]
- الأدوات التي تعمل بالموجات فوق الصوتية (بالإنجليزية: Ultrasonic instruments)، حيث تقوم هذه الأدوات آلية الحركة على إحداث اهتزازاتٍ تُساعد على إزالة البلاك والجير تحت اللثوي، وهناك عدة طرقٍ لإحداث هذه الاهتزازات أو الذبذبات من أهمها وحدة التقليح بالتقبض المغناطيسي (بالإنجليزية: Magnetostrictive scaling unit) ووحدة التقليح االكهروضغطية (بالإنجليزية: Piezoelecric scaling unit).[4]
نظام فيكتور
إن المميز في هذا النظام في علاج اللثة هو نوع الذبذبات التي يُنتجها، حيث تُستخدم الذبذبات العمودية في هذا النوع من الأدوات فوق الصوتية، ومن فوائد هذا النظام أن نوع الذبذبات المُسخدم فيه يقلل إحساس المريض بالألم، ومن الجدير بالذكر أنه يتم استخدام سوائل معينةٍ للغسل مترافقةً مع استخدام أجهزة التنظيف فوق الصوتية، ومن أنواع السوائل المستخدمة في هذا النوع من التنظيف هيدروكسيل أباتيت (بالإنجليزية: Hydroxyapatite) وكربيد السيليكون (بالإنجليزية: Silicon carbide)، وتقوم السوائل المستخدمة على إنتاج طبقةٍ لطاخيةٍ (بالإنجليزية: Smear layer) على سطح السن من شأنها أن تقلل من حساسيته، وقد صمّم هذا النظام لمعالجة أنسجة اللثة بشكل فعالٍ وقويٍّ مع تقليل كمية السن المفقودة خلال عملية التنظيف، وتعتمد فعالية هذا النوع من طرق إزالة الجير على نوع السائل المستخدم في الإزالة.[4]
الوقاية من جير الأسنان
إنّ الخطوة الأساسية في الوقاية من تكوّن الجير هي منع تكوّن البلاك والتصاقه بالأسنان وتصلبه، وهناك موادٌ تُستخدم لمنع التصاق طبقة البلاك بأسطح الأسنان عن طريق تغيير خصائصها الكيميائية، ومن أمثلة هذه المواد المضادات الحيوية، والإنزيمات، والمعقمات،[4]وللوقاية من جير الأسنان هناك بعض الإجراءات التي من الواجب اتباعها، ومنها ما يأتي:
- تنظيف الأسنان عن طريق تفريشها بفرشاة أسنانٍ ناعمة الشعيرات مرتين في اليوم على الأقل لمدة دقيقتين، مع الحرص على تنظيف الأسطح التي يصعب الوصول إليها، وهناك بعض الدراسات التي تشير إلى فاعلية استخدام الفرشاة الكهربائية في تنظيف الأسنان، ويُفضل استخدام معجون أسنانٍ يحتوي على الفلورايد وأن يكون مقاوماً لتكوّن الجير.[6]
- التنظيف بين الأسنان عن طريق استخدام خيط الأسنان الطبي، لأن استخدام خيط الأسنان هو الطريقة الوحيدة لتنظيف البلاك بين الأسنان ومنع تكون الجير،[6] ويُفضل استخدام خيط الأسنان يومياً، وقبل القيام بتفريش الأسنان.[7]
- استخدام غسولات الفم القاتلة للبكتيريا لمنع نموها،[6] ومن أنواع غسولات الفم القاتلة للبكتيريا الغسولات المحتوية على الكلورهكسيدين (بالإنجليزية: Chlorhexidine)، وينصح باستخدام هذا الغسول عند توصية الطبيب باستخدامه لتقليل فرص التصاق طبقة البلاك بأسطح الأسنان، ولكن هناك خلافٌ على استخدام هذه الغسولات في حالات الأشخاص الذين يمتلكون لثةً سليمةً، ولا بد من الانتباه إلى أن استخدام غسولات الفم التي تحتوي على مادة الكلورهكسيدين بشكلٍ منتظمٍ يؤدي إلى تلون الأسنان وإعطائها لوناً بُنياً، كما يجدر التنبيه إلى غسل الفم بالماء جيداً بين تفريش الأسنان واستخدام غسول الفم لأن معجون الأسنان قد يحتوي على مواد تقوم بتعطيل عمل غسول الفم.[7]
- الامتناع عن التدخين، لأن الانقطاع عن التدخين يُحسِّن من صحة الفم والّلثة بشكلٍ كبيرٍ، حيث يُعد التدخين واحداً من أهم عوامل حدوث أمراض اللثة.[7]
- زيارة طبيب الأسنان بشكلٍ دوريٍّ.[7]
المراجع
- ^ أ ب Michael Friedman (18-7-2016), "What is Tartar? 6 Tips to Control Buildup"، www.webmd.com, Retrieved 26-11-2017. Edited.
- ↑ American Academy of Periodontology, "WHAT IS THE DIFFERENCE BETWEEN PLAQUE AND CALCULUS?"، www.perio.org, Retrieved 26-11-2017. Edited.
- ↑ Christine Frank (15-11-2017), "What Happens During a Teeth Cleaning?"، www.healthline.com, Retrieved 12-12-2017. Edited.
- ^ أ ب ت ث ج Deepa G. Kamath, Sangeeta Umesh Nayak (1-2014), "Detection, removal and prevention of calculus: Literature Review"، www.ncbi.nlm.nih.gov, Retrieved 26-11-2017. Edited.
- ↑ "Scaling and Root Planing", www.mouthhealthy.org, Retrieved 13-12-2017. Edited.
- ^ أ ب ت Michael Friedman (18-7-2016), "What is Tartar? 6 Tips to Control Buildup"، www.webmd.com, Retrieved 27-11-2017. Edited.
- ^ أ ب ت ث "Gum disease", www.nhs.uk,4-2-2016، Retrieved 12-11-2017. Edited.
- ↑ فيديو عن جير الأسنان.
المقال السابق: أضرار الطلق الصناعي
المقال التالي: فاكهة الكاكا
إزالة جير الأسنان بدون طبيب: رأيكم يهمنا
0.0 / 5
0 تقييم
