عيوب العدسات اللاصقة للأسنان
العدسات اللاصقة للأسنانيرغب العديد من الناس على الحصول على أسنان جميلة ناصعة البياض؛ نظراً لتأثيرها على المظهر العام وشكل الوجه بشكل خاص، وهنالك العديد من
العدسات اللاصقة للأسنان
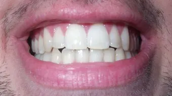
يرغب العديد من الناس على الحصول على أسنان جميلة ناصعة البياض؛ نظراً لتأثيرها على المظهر العام وشكل الوجه بشكل خاص، وهنالك العديد من التقنيات الحديثة المستخدمة لتجميل الأسنان، وتعدّ عدسات الأسنان اللاصقة أحدث تلك التقنيات وهي عبارة عن طبقة رقيقة مكوّنة من البورسلين والمواد البلاستيكية، وهناك أنواعاً مختلفة من العدسات اللاصقة للأسنان وهي:
أنواع العدسات اللاصقة للأسنان
- الأمبرس: تعد الأمبرس أقدم أنواع العدسات اللاصقة وأرخصها ثمناً، والتي تستخدم بشكل كبير بالأضراس الداخلية، ولا تحتاج للكثير من البرد قبل وضعها على السن أو الضرس، ولكنها لم تعد متواجدة بكثرة في عيادات الأسنان؛ نظراً لوجود بدائل أفضل.
- الفينير: هي المادة التي تتواجد بكثرة في الوطن العربي، والتي تعمل على مبدأ وضع طبقة غاية بالرقة على سطح الأسنان دون الحاجة لخسارة جزء من الأسنان الحقيقية مما يسبب الراحة النفسية للمستخدمين، وهي سهلة التركيب ولا تحتاج للتخدير، وتخفي عيوب الأسنان وتظهرها طبيعية للغاية.
- الليمونير: يشبه الليمونير مادة الفينير بشكل كبير، وتحقق نفس النتائج المرجوة من الفينير.
إنّ أهمّ الحالات التي تتطلب وضع العدسات اللاصقة بأنواعها، هي: تلون الأسنان نتيجة مرض، أو تناول دواء معين، أو التدخين، أو تناول الأطعمة والمشروبات التي تسبب ذلك، تكسّر الأسنان وتآكلها، أو وجود تشوهات في انتظام الأسنان وشكلها، أو وجود فراغات بسيطة بين الأسنان.
عيوب العدسات اللاصقة للأسنان
- تكلفتها عالية جداً بالمقارنة بالطرق الأخرى كالحشوة البيضاء التي تستخدم لتغيير شكل الأسنان.
- وجوب القيام بتحضير السن للقشرة من خلال التخلّص من طبقة المينا، وبالتالي سيصبح السن حساساً للبرودة والحرارة بشكل أكبر، ولا يمكن إعادة السن على ما كان عليه قبل تعديله.
- لا تقوم بحماية الأسنان من الإصابة بالتسوس، حيث يمكن أن يتسوس السن بالرغم من وجود العدسة اللاصقة.
- تعد وسيلة مخادعة تخفي العيوب دون أن تعالج اللثة.
- يمكن تغيّر لونها عند التدخين أو تناول بعض الأطعمة والمشروبات.
- قد تتضرّر نتيجة عض شيء قاسٍ.
مزايا العدسات اللاصقة للأسنان
- تتأقلم اللثة بسرعة مع المادة المستخدمة لصنع العدسات اللاصقة.
- تدوم لمدة طويلة تمتد من 5-7 سنوات، حسب العناية بها.
- بإمكانها إخفاء جميع عيوب الأسنان التي تسبب الإحراج لأصحابها؛ كالكسور، واللون الأصفر، والتآكل.
- لا يتطلب الأمر العناية بها سوى تنظيف الأسنان جيداً والعناية بنظافة الفم، وزيارة الطبيب كلّ 6 شهور.
- لا تحتاج إلى وقت كبير لوضعها فتكفي زيارتين لإتمام العملية بشكل كامل.
المقال السابق: نقص الصبغة عند الأطفال
المقال التالي: طريقة تطويل الشعر في أسرع وقت
عيوب العدسات اللاصقة للأسنان: رأيكم يهمنا
0.0 / 5
0 تقييم
