هل يتغير الصوت بعد عملية اللوز
اللوزتاناللوزتان تقعان في آخر تجويف الفم، وهما من الجهاز اللمفاوي في الجسم وتعملان في مساعدة جهاز المناعة في التخلّص، ومنع الجراثيم ومسببات الأمراض المختلفة من
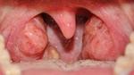
اللوزتان
اللوزتان تقعان في آخر تجويف الفم، وهما من الجهاز اللمفاوي في الجسم وتعملان في مساعدة جهاز المناعة في التخلّص، ومنع الجراثيم ومسببات الأمراض المختلفة من الدخول إلى الجسم عن طريق الفم، وتؤدي هاتان اللوزتان هذه الوظيفة بالصورة الطبيعيّة ولكنهما قد يتقاعصان عن أداء هذه المهمّة ويصبحان مصدراً للأمراض والمشاكل في الجسم، وهنا قد يلجأ البعض إلى استئصالهما للتخلّص من الأمراض المتعلقة بهما، ولكن يجب التفكير جيّداً قبل اللجوء إلى هذا الحل.
أسباب اللجوء إلى استئصال اللوز
- تكرار إصابة اللوز بالالتهابات التي تسببها البكتيريا، وعدم استجابة اللوز للعلاج بالتالي تصبح في معظم الأحيان مصابة بالالتهاب.
- تضخّم حجم اللوزتين ممّا قد يؤدي إلى سد مجرى التنفس أحياناً.
- وجود الأورام الخبيثة أو الاشتباه بوجودها.
- تجمّع الصديد في اللوزتين وانتقالهما إلى الجسم وبث سمومها في الجسم.
- ايجاد الصعوبة في البلع بسبب تضخّم حجم اللوزتين.
- خروج رائحة كريهة من الفم أو وجود طعم غير مستساغ في الفم.
طريقة استئصال اللوز
يتم تخدير المصاب تخديراً كاملاً، ومن ثم يتم قص اللّوز باستخدام السكين، أو الليزر، أو الحارق الكهربائي حيث يتم فصل اللّوز عن قاعدتها بشكل تام، في العادة المصابين الذين تقل أعمارهم عن الخامسة عشر يخرجون في نفس اليوم من المستشفى، أمّا من هم فوق الخامسة عشر قد يضطرون إلى المبيت للتأكد من سلامتهم.
مضاعفات عملية استئصال اللوزتين
- وجود الألم الشديد في مكان اللوزتين بسبب الجرح الموجود.
- الشعور بألم في الأذنين بسبب اشتراك الحلق والأذنين بالعصب الذي ينقل الأحاسيس.
- تغيّر في الصوت، حيث قد يعاني بعض الأشخاص من تغيّر طبقة الصوت لديهم ليصبح رفيعاً، منهم من تبقى هذه التغيّرات ملازمة له، ومنهم من يعود صوته إلى الوضع الطبيعي بعد فترة قصيرة، كما أنّ بعض الأشخاص لا يتغيّر الصوت لديهم أبداً.
- الإصابة بالأرق في الليل وحدوث الاضطرابات بسبب الألم، حيث لا يعُد المريض قادراً على النوم بسهولة.
- حدوث النزيف في مكان حدوث العملية لفترة قصيرة.
- صعوبة البلع بسبب الألم الشديد، فيخاف المصاب من تناول الطعام ممّا قد يؤدي إلى حدوث الاّلتهاب في مكان الجرح، لذلك يجب تناول الطعام الليّن غير القاسي لعدم تجريح منطقة العملية.
وجب على الوالدين مراقبة وضع المريض خلال أسبوع، وتقديم الكثير من السوائل له، وتقديم الطعام السهل البلع واللطيف على الحلق حتّى لا يفتح جرح العملية الذي لم يلتئم بعد، كما ويُفّضل أن يتناول المريض الآيس الكريم البارد، ويجب منعه من تناول الأطعمة صعبة البلع أو التي قد تُسبب تهيّج منطقة الجرح.يجب مراجعة الطبيب فوراً في حال إصابة المريض بارتفاع درجة الحرارة واستمرار التقيؤ وعدم التحسّن والشفاء.
المقال السابق: الثقة بالنفس
المقال التالي: ما هي أسباب الضعف الجنسي
هل يتغير الصوت بعد عملية اللوز: رأيكم يهمنا
0.0 / 5
0 تقييم
