التخلص من جير الأسنان
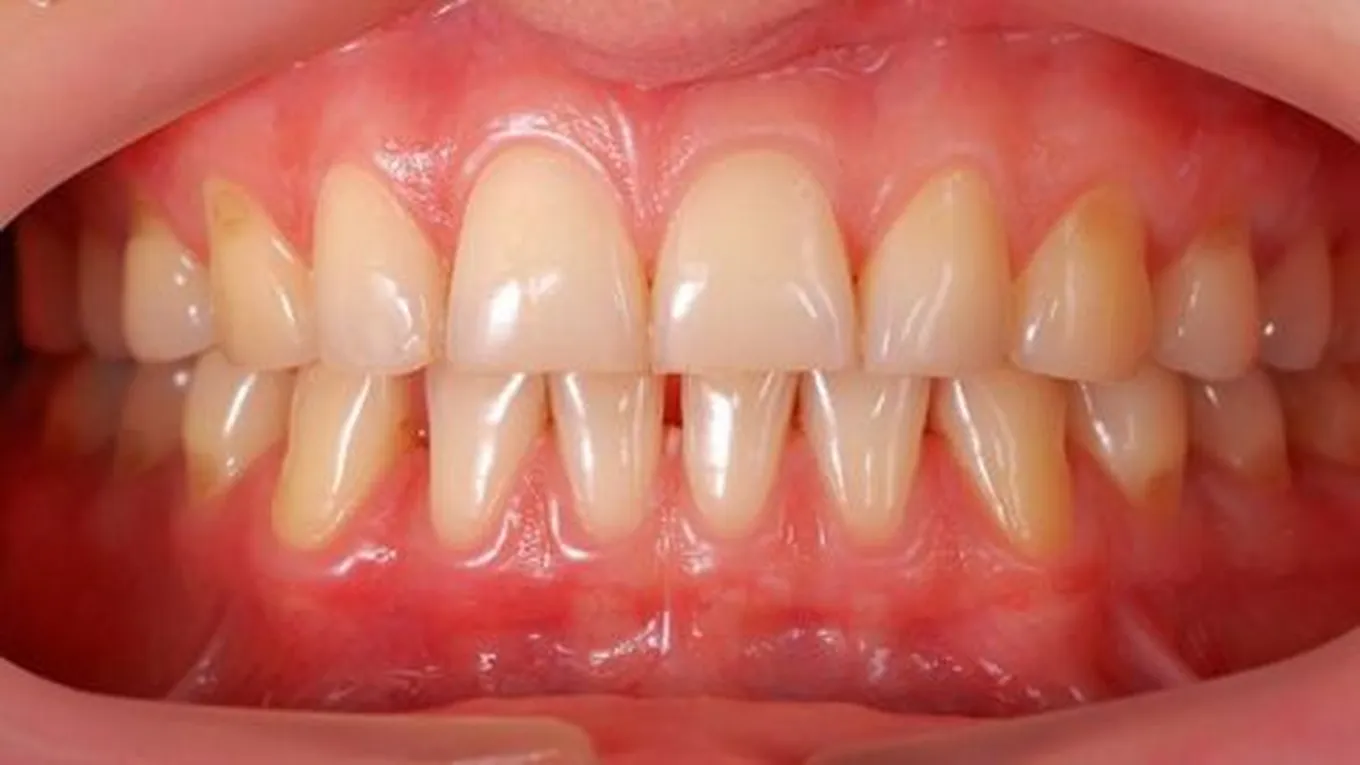
جير الأسنانجير الأسنان هو طبقة شفّافة تظهر على الأسنان، وتتكوّن من البكتيريا، وبقايا الطعام، واللعاب، ممّا يسبّب ظهور الأسنان بشكلٍ سيّئ، ويمكن أن تكون واضحة
جير الأسنان
جير الأسنان هو طبقة شفّافة تظهر على الأسنان، وتتكوّن من البكتيريا، وبقايا الطعام، واللعاب، ممّا يسبّب ظهور الأسنان بشكلٍ سيّئ، ويمكن أن تكون واضحة وظاهرة، أو تكون بين الأسنان واللثة، وفي هذا المقال سنتحدّث عن أسباب تشكلها، ومضاعفاتها، كيفية التخلص منها بطرق طبيعيّة وآمنة، بالإضافة إلى نصائح للوقاية منه.
أسباب تشكّل جير الأسنان
- الإهمال في تنظيف الأسنان.
- التدخين المستمرّ.
- مشاكل في الأسنان مثل عدم تنظيمها في القوس السنيّ.
- خشونة أسطح الأسنان.
مضاعفات تشكل جير الأسنان
- اصفرار الأسنان بشكلٍ كبير، والسبب تراكم طبقات من الجير عليها.
- احتماليّة الإصابة بتسوّس الأسنان ونخرها.
- احتماليّة التعرّض إلى نزيف في الأسنان.
- التهاب اللثة.
- إمكانية تساقط الأسنان وتكسّرها.
- تآكل الأسنان بشكلٍ كبير.
- ظهور رائحة كريهة ومزعجة في الفم، والسبب تكاثر البكتيريا داخل الفم.
طرق طبيعيّة لإزالة جير الأسنان
- الباكينج صودا والملح: وضع ملعقة كبيرة من الباكينج صودا، وملعقة صغيرة من الملح في وعاء والخلط جيداً، ثم إضافة ملعقتين كبيرتين من الماء الدافئ والاستمرار في التحريك، ثم وضع الخليط على فرشاة الأسنان، والفرك جيداً لمدة خمس دقائق، وبعدها غسل الأسنان بالماء، ويفضّل تكرار الخلطة مرتين أسبوعياً للحصول على أفضل نتيجة.
- بروكسيد الهيدروجين: وضع ملعقة صغيرة من بروكسيد الهيدروجين بداخل نصف كأس من الماء والتحريك جيداً، ثم المضمضة بالخليط لمدة دقيقة واحدة، وبعدها المضمضة جيداً بالماء البارد.
- زيت السمسم: وضع ملعقة كبيرة من زيت السمسم بداخل نصف كأس من الماء، ثمّ المضمضة بالخليط لمدة خمس دقائق، ويساعد زيت السمسم على منع تراكم جير الأسنان.
- زيت القرنفل: وضع ملعقة كبيرة من زيت القرنفل بداخل كأس من الماء، ثم المضمضة جيداً بالخليط لمدة دقيقة واحدة، ويعتبر زيت القرنفل من الزيوت الفعّالة في علاج آلام اللثة والأسنان، كما يقلّل من ظهور الجير على سطح الأسنان.
- زيت جوز الهند: وضع ملعقة كبيرة من زيت جوز الهند بداخل الفم، ثم المضمضة لمدّة دقيقة واحدة، ويعتبر زيت جوز الهند من الزيوت الجيّدة التي تمنع تراكم الجير على الأسنان، كما يحتوي على العديد من العناصر الهامّة التي تحتاجها الأسنان.
- الخلّ: وضع ملعقة صغيرة من الخلّ، وملعقة صغيرة من الملح بداخل كأس من الماء والتحريك جيداً، ثم المضمضة بالخليط لمدة خمس دقائق، ويفضل تكرار الخليط يومياً للحصول على أفضل نتيجة.
- الثلج: فرك الأسنان جيداً بواسطة قطعة من الثلج لمدة دقيقتين، ويساعد الثلج على إزالة طبقة الجير، كما يساعد على إزالة الصبغات التي تظهر على الأسنان وخاصّة أسنان المدخّنين، لكن يجب الحرص على عدم استخدام الثلج للأسنان الحساسة.
نصائح للتخلّص من جير الأسنان
- تنظيف الأسنان يومياً ويفضّل ثلاث مرات.
- شرب الحليب بشكلٍ دائم، حيث يساعد على حماية الأسنان وجعلها قوية.
- تناول الأطعمة الحامضة، وخاصة الأطعمة التي تحتوي على فيتامينC، الذي بدورها تساعد على حماية اللثة من الأمراض المختلفة.
- شرب كأس واحد من الشاي الأخضر يومياً، حيث أثبتت الدراسات الحديثة أنّ الشاي الأخضر يساعد على قتل البكتيريا والجراثيم الموجودة في الأسنان، وبالتالي حماية الأسنان وتقويتها.
المقال السابق: التخلص من تشققات القدمين
المقال التالي: كيفية عمل ريستور للآيفون
التخلص من جير الأسنان: رأيكم يهمنا
0.0 / 5
0 تقييم
5
(0)
4
(0)
3
(0)
2
(0)
1
(0)
