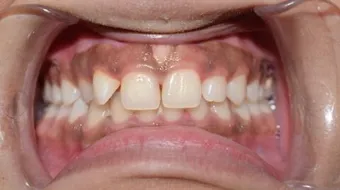
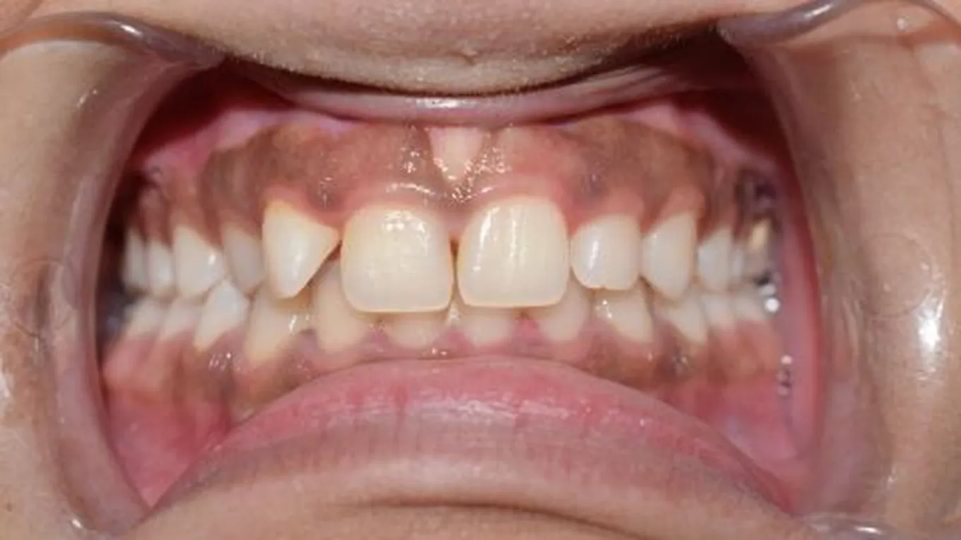
التهاب اللثة
التهاب اللثَّةيعتبر التهاب اللثَّة (بالإنجليزيّة: Gingivitis) من الأمراض الشائعة التي تصيب اللثّة، والتي تحدث بسبب تراكم طبقة من البلاك أو البكتيريا على
التهاب اللثَّة
يعتبر التهاب اللثَّة (بالإنجليزيّة: Gingivitis) من الأمراض الشائعة التي تصيب اللثّة، والتي تحدث بسبب تراكم طبقة من البلاك أو البكتيريا على الأسنان، ويمكن أنَّ يُؤدِّي التهاب اللثَّة غير المُعالج إلى التهاب دواعم الأسنان (بالإنجليزية: Periodontitis)، ممّا يُؤدّي مع مرور الوقت إلى فُقدانها، وغالباً ما يتمّ القضاء على التهاب اللثَّة بالمُحافظة على نظافة الفم، عن طريق استخدام غسولات الفم المطهرة، بالإضافة لتنظيف الأسنان بالفُرشاة والخيط لفترات أطول وأكثر تكراراً.[1]
أعراض التهاب اللثَّة
قد لا يرافق التهاب اللثة البسيط أي أعراض، وقد تظهر بعض الأعراض في حال الإصابة بالتهاب اللثة الشديد، ومن هذه الأعراض:[2]
- احمرار وانتفاخ اللثَّة، والشعور بالألم عند لمسها.
- ظهور القَيْح بين الأسنان واللثَّة، والشعور بالألم عند المَضْغ.
- ظهور رائحة كريهة للفم، ولا تزول بعد تنظيف الأسنان.
- حدوث نَزْيف في اللثَّة عند تنظيف الأسنان.
عوامل خطر التهاب اللثة
يوجد العديد من العوامل والأسباب التي تؤدي إلى الإصابة بالتهاب اللثة، ومن هذه العوامل نذكر الأتي:[3]
- الإصابة بالسرطان، حيث أن الإصابة بالسرطان، أو علاجة من الأسباب الرئيسبة لالتهاب اللثة.
- التغيُّرات الهرمونيّة، التي تؤثر في زيادة تعرض الأوعية الدموية للهجوم البكتيري والكيميائي.
- الأسنان المُلتوية، حيث يصعب تنظيفها ممّا يسهل تكوين طبقات البلاك فيها.
- التدخين.
- التغذية السيئة، حيث تزيد بعض العادات الغذائية من تكوين طبقة البلاك على الأسنان كتناول الأغذية الغنية بالسكريات، والكربوهيدرات، وتناول كميات قليلة من الأغذية الغنية بفيتامين ج الذي يساعد على العلاج.
الوقاية من التهاب اللثة
يمكن القيام ببعض الممارسات اليومية، لحماية اللثة من الالتهاب ونذكر فيما يأتي بعضاً من هذه الممارسات:[4]
- إستخدام غسول الفم بشكل يومي حيث يقلل من طبقة البلاك بين الأسنان.
- تنظيف الأسنان بالفرشاة بعد كل وجبة، أو على الأقل مرتين يومياً.
- استخدام فرشاة الأسنان الكهربائية، حيث تعد أكثر فعالية لإزالة البلاك.
- تنظيف الأسنان بالخيط بشكل يومي.
- الإلتزام بزيارة طبيب الأسنان بشكل منتظم للمحافظة على صحة الأسنان.
المراجع
- ↑ "Causes and treatment of gingivitis", www.medicalnewstoday.com, Retrieved 7-1-2019. Edited.
- ↑ "Gum Disease (Gingivitis)", www.healthline.com, Retrieved 7-1-2019. Edited.
- ↑ "Gum Disease (Gingivitis)", www.medicinenet.com, Retrieved 21-1-2019. Edited.
- ↑ "Gingivitis", www.mayoclinic.org, Retrieved 21-1-2019. Edited.
المقال السابق: طريقة عمل المن والسلوى
المقال التالي: الثورة الفرنسية
التهاب اللثة: رأيكم يهمنا
0.0 / 5
0 تقييم
