كيف تتخلص من تسوس الأسنان
الأسنانتقوم الأسنان بوظيفة مضغِ الطعام أو ما يُعرَف بالعمليّة الميكانيكيّة لهضم الطعام، فهي صلبة بما يكفي لتقطيع الطعام وطحنه إلى قطعٍ صغيرةٍ بمساعدة اللِّسان
الأسنان
تقوم الأسنان بوظيفة مضغِ الطعام أو ما يُعرَف بالعمليّة الميكانيكيّة لهضم الطعام، فهي صلبة بما يكفي لتقطيع الطعام وطحنه إلى قطعٍ صغيرةٍ بمساعدة اللِّسان واللّعاب، وتُعتبر هذه الأسنان أيضاً من وسائل الحماية للفم من دخول الأجسام الغريبة والصلبة إلى داخل الجسم من خلال التجويف الفموي، كما أنّها تُعطي منظراً جميلاً للفم عند الابتسام، ولكن قد تُصاب هذه الأسنان بالعديد من المشاكل نتيجة عوامل مختلفةٍ؛ ومن هذه المشاكل تسوّس الأسنان.[1]
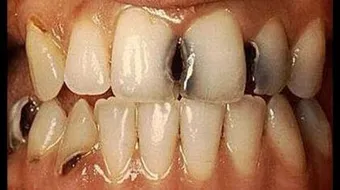
تعتبر مشكلة تسوّس الأسنان من أكثر المشاكل الشائعة في العالم بين جميع الفئات العمريّة ومن الجنسين الذكر والأنثى، فهي لا تُفرِّق بين الأعمار ولا بين الأجناس؛ وإنما ما يحمي الشخص منها هو الاهتمام بنظافة الأسنان وعدم العبث بها ولا إهمالها.[2]
أسباب الإصابة بتسوّس الأسنان
السبب الرئيسي الذي يقود إلى تسوّس الأسنان هو تراكم البكتيريا التي تبدأ تنخر في الطبقة الخارجيّة من السن إلى أن تصِل إلى الطبقات الداخليّة، ولكن هناك عوامل تقود إلى تجمّع هذه البكتيريا بكميّاتٍ تسمح لها بالإضرار بالسن، ومن هذه العوامل:[3]
- تناوُل الوجباتِ المتكررةِ دون تنظيف الأسنان بعدها، مما يؤدي إلى تراكم الأطعمة التي تسبب تراكم البكتيريا.
- عدم تنظيف الأسنان قبل النوم؛ فالبكتيريا تنتشر في هذه الفترة متغذيةً على بقايا الطعام.
- جفاف الفم وعدم ترطيبه بالماء أو غيرها من السوائل الخالية من السكر.
طرق التخلص من تسوّس الأسنان
من الطرق العلاجية للتخلص من تسوس الأسنان ما يلي:[2][4]
- يجب علاج التسوّس في الأسنان منذ بداية ظهوره حتى لا يصل إلى جذور السن مسبباً فيما بعد دماره وسقوطه؛ فالتسوّس عندما يكون في الطبقة الخارجيّة يَسهُل التخلّص منه من خلال الحفر وحشو حشوة مكانه، ولكن إذا وصل إلى الجذور والعصب فإنّ العلاج لا يكون إلّا عن طريق الخلع.
- توجد بعض الطرق المنزليّة التي تُساعِد في التخلّص من تسوّس الأسنان البسيط، منها:
- استخدام خليط من زيت القرنفل مع زيت بذور السمسم، ووضع قطنة في هذه الخليط لتتشرّبه ثم يتم وضعها في السن المصابة بالتسوس يوميّاً قبل النوم، ويمكن أن يتم مضغ القرنفل مباشرةً في السن.
- المضمضة بمحلول الماء والملح؛ لأنّ الملح يُعتبر من المطهِّرات الطبيعيّة، أو يمكن خلط الملح مع عصير الليمون أو زيت الخردل والعمل على تدليك اللثة به.
- استخدام عصير جوزة الطيب مع القليل من زيت القرنفل أو التوابل ووضع المزيج على السن المصابة بالتسوّس، ويُكّرر هذا العلاج لأكثر من ثلاث مرات يوميّاً.
- استخدام مسحوق الكركم على مناطق التسوّس وتركها لمدةٍ قليلةٍ ثم شطفها.
- استخدام غسول الفم المضاد للبكتيريا للتخلّص من تجمّعها في الفم.
- غسل الفم بالماء الدافىء بعد وجبات الطعام، مع تجنّب الأطعمة التي تحتوي على السكريّات.
المراجع
- ↑ "Teeth", www.innerbody.com, Retrieved 22-6-2018. Edited.
- ^ أ ب "Decay", /www.mouthhealthy.org, Retrieved 22-6-2018. Edited.
- ↑ Dr. Gershberg, "Top 10 Causes of Tooth Decay"، drgershberg.com, Retrieved 22-6-2018. Edited.
- ↑ "Tooth decay", www.nhsinform.scot, Retrieved 22-6-2018. Edited.
المقال السابق: كيف أحرق الدهون بعد وجبة دسمة
المقال التالي: عمل الشوفان للرضع
كيف تتخلص من تسوس الأسنان: رأيكم يهمنا
0.0 / 5
0 تقييم
