طريقة التخلص من تسوس الأسنان
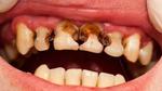
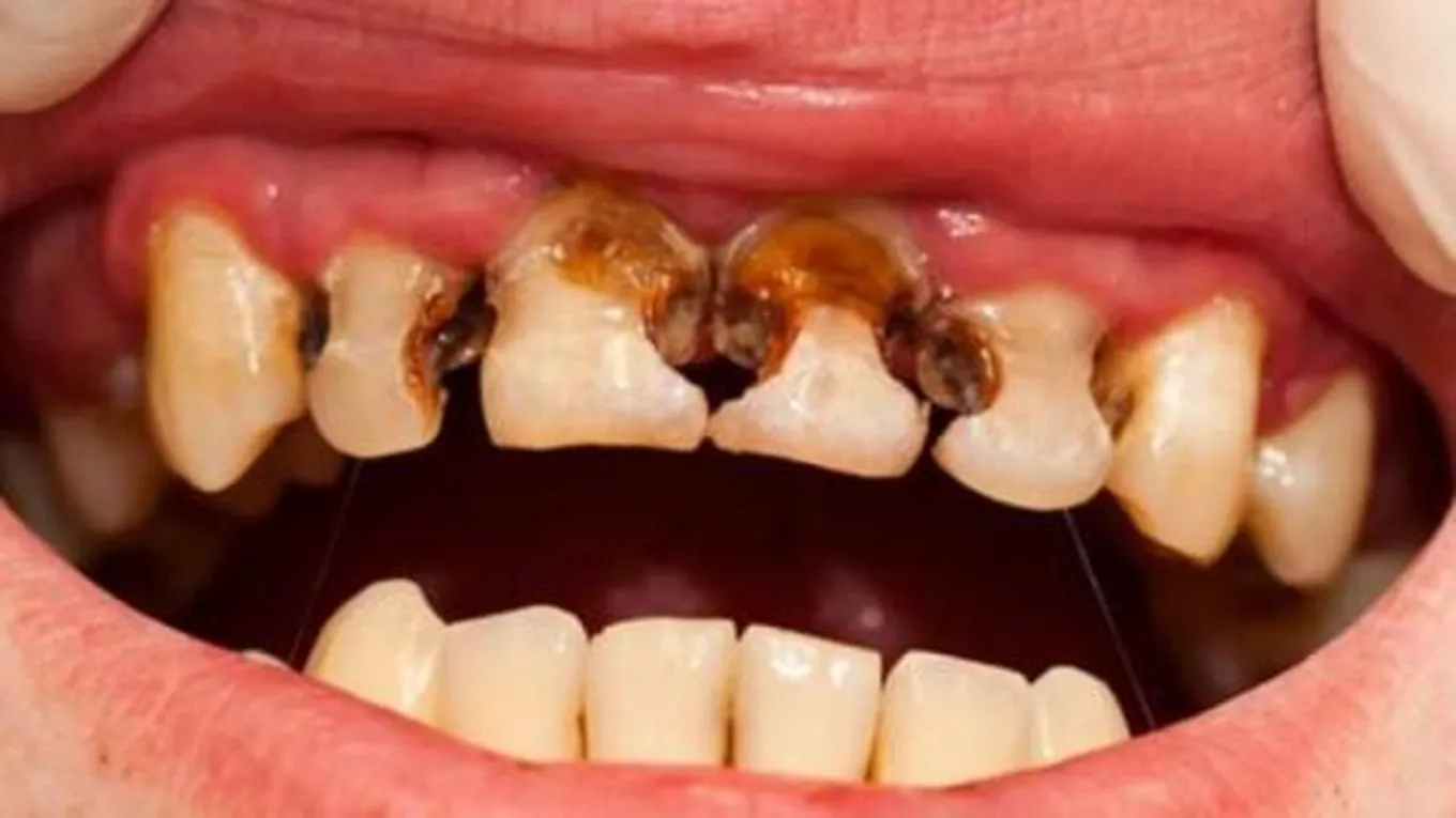
تسوس الأسنانيعاني العديد من الأفراد من مشكلة تسوس الأسنان التي يظهر على شكل ثقوب أو فراغات في الأسنان، كما يرافق ذلك ظهور مادة سوداء اللون عليها، وتوجد العديد
تسوس الأسنان
يعاني العديد من الأفراد من مشكلة تسوس الأسنان التي يظهر على شكل ثقوب أو فراغات في الأسنان، كما يرافق ذلك ظهور مادة سوداء اللون عليها، وتوجد العديد من العوامل المسببة له، ومنها: إهمال نظافة الأسنان، وكثرة تناول السكريات، وسوء التغذية، كما توجد العديد من الأعراض المرافقة لهذه المشكلة، ومنها: الشعور بالآلام عند مضغ الطعام، وحساسية الأسنان للمشروبات الباردة والساخنة، وفي هذا المقال سنذكر طريقة ونصائح للتخلص من تسوس الأسنان.
التخلص من تسوس الأسنان طبيعياً
القرنفل
نمزج ست نقاط من زيت القرنفل مع نصف ملعقة صغيرة من زيت بذور السمسم جيداً، ثم نغمر قطعة صغيرة من القطن بالمزيج، ونضعها على السن المصاب، ونتركها لمدة ساعة، ثم نزيلها، ونكرر هذه العملية بشكل يومي قبل النوم.
الملح
نضع نصف ملعقة كبيرة في كوب كبير من الماء الفاتر، ونتمضمض بالمزيج لمدة دقيقة، ونكرر هذه العملية ثلاث مرات بشكل يومي، ونضع المزيج على اللثة مع التدليك بخفة لمدة سبع دقائق، ثم نتمضمض بمقدار من الماء الدافئ، ونكرر هذه العملية مرتين يومياً لمدة أسبوع.
الكركم
نمزج ربع ملعقة كبيرة من الكركم البودرة مع ربع ملعقة كبيرة من زيت الخردل جيداً، ثم نضع المزيج على الأسنان المصابة واللثة مع التدليك بحركات دائرية، ونتركه لمدة عشر دقائق، ثم نبصقه، ونكرر هذه الوصفة مرتين يومياً لأسبوع.
زيت جوز الهند
نمزج نصف ملعقة كبيرة من زيت جوز الهند، ونصف ملعقة صغيرة من الكركم المدقوق، ونصف ملعقة صغيرة من زيت القرنفل، وربع ملعقة صغيرة من الملح معاً، ثم نضع مقداراً من المزيج على فرشاة الأسنان، ثم ننظف الأسنان بالمزيج باستخدام الفرشاة، ثم نتمضمض بالماء الفاتر، ونكرر هذه العملية مرتين يومياً.
عنب الثعلب الهندي
نخلط ملعقة صغيرة من عنب الثعلب الهندي المدقوق مع كوب من الماء جيداً، ثم نتناول المزيج، ونكرر هذه العملية بشكل يومي.
عصيرالقلطة
نضع ملعقة كبيرة من عصير القلطة في كوب من الماء، ونتمضمض بمقدار من المزيج في الفم لمدة دقيقة، ثم نبصقه، ونكرر هذه العملية حتى تنفذ كمية المزيج، ونكرر هذه الوصفة ثلاث مرات يومياً.
التخلص من تسوس الأسنان طبياً
- إزالة السوس وحشو الأسنان.
- التدخل الجراحي.
- خلع السن، ويشار إلى أن التعامل مع كل مريض يكون بحسب حالته.
نصائح للتخلص من تسوس الأسنان
- استعمال غسول الفم الذي يعمل كمضاد للبكتيريا بشكل منتظم.
- تقليل تناول المشروبات والأطعمة التي تحتوي على نسبة عالية من السكر.
- مضع العلكة الخالية من السكر، لنأها تحفز إفراز اللعاب، وبالتالي زيادة قوة الأسنان.
- شرب كميات كبيرة من الماء.
- تناول الغذاء الصحي المتوازن.
- تنظيف الأسنان ثلاث مرات في اليوم على الأقل.
- تنظيف الاسنان بعد تناول السكريات.
المقال السابق: سبب ظهور الحبوب في الظهر والصدر
المقال التالي: طرق شد الترهلات في الجسم
طريقة التخلص من تسوس الأسنان: رأيكم يهمنا
0.0 / 5
0 تقييم
