كيف تتخلص من تسوس الاسنان
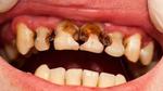
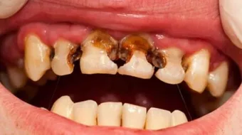
تسوس الأسنانتسوس الأسنان (بالإنجليزيّة: Tooth cavity, or Tooth decay) هو أحد أكثر الأمراض انتشاراََ في العالم، ويمكن أن يُصاب به الجميع كباراََ وصغاراََ،
تسوس الأسنان
تسوس الأسنان (بالإنجليزيّة: Tooth cavity, or Tooth decay) هو أحد أكثر الأمراض انتشاراََ في العالم، ويمكن أن يُصاب به الجميع كباراََ وصغاراََ، والتّسوس هو ثقب أو تجويف يتشكّل داخل السّن بتأثير التّرسبات اللزجة التي تلتصق بالأسنان وتؤدي إلى تآكلها والتي تُعرف باسم اللويحات السّنيّة أو البلاك (بالإنجليزيّة: plaque). يحدث التّسوس عندما تحوّل البكتيريا السّكر الموجود في بقايا الطّعام المتراكم في الفم إلى حمض، ويبدأ الحمض بإضعاف طبقة المينا الحامية المحيطة بالسّن مما يؤدي إلى نخرها، ويمكن الوقاية من تسوّس الأسنان بالتّنظيف المنتظم للسن للتخلّص من بقايا الطّعام.[1]
التخلّص من تسوّس الأسنان
يمكن التّخلص من تسوس الأسنان بعدة طرق منها ما يمكن تنفيذه في المنزل، ومنها ما يستدعي مراجعة طبيب الأسنان، ويعتمد نوع العلاج على خطورة الحالة ومدى تقدمها.
طبيعيّاً
يمكن التخلّص من تسوّس الأسنان في مراحله المبكرة باستخدام بعض الوصفات المنزليّة دون إهمال تنظيف الأسنان باستخدام معجون الأسنان ومراجعة طبيب الأسنان بانتظام، ومن الوصفات المنزليّة الممكن استخدامها للتخلّص من تسوّس الاسنان ما يلي:[2]
- استخدام زيت االسّمسم، أو زيت جوز الهند: تشير دراسات تحتاج لمزيد من الأدلة لإثباتها أنّ وضع ملعقة من زيت السّمسم، أو زيت جوز الهند في الفم لفترة محددة ثم بصقه، يمكن أن يقلل من اللويحات السّنية في الفم والبكتيريا بنفس درجة غسول الفم، كما أنّه قد يساعد في إعادة تنشيط المينا ومنع التّسوس.
- استخدام الألوة فيرا: يحتوي الجل المُستخرج من نبات الألوة فيرا على مواد مضادة للجراثيم؛ لذلك يُعتقد أنّ استخدام هذا الجل قد يساعد في محاربة البكتيريا التي تسبب التّسوس.
- تجنّب حمض الفيتيك: تشير بعض الدّراسات غير المثبتة علمياََ أنّ حمض الفيتيك (بالإنجليزيّة: Phytic acid) الموجود في البقوليات يمكن أن يسبّب نخر مينا الأسنان، وبناءََ على هذه الدّراسات يُعتقد أنّ تجنّب الأطعمة التي تحتوي على حمض الفيتيك يمكن أن يمنع تسوس الأسنان.
- تناول فيتامين D: تشير دراسة أنّ تناوّل مكملات فيتامين D قد يساعد على تقوية مينا الأسنان والحد من التّسوس.
- تجنّب الأطعمة والمشروبات التي تحتوي على سكر: يمكن تجنّب التّسوس بتقليل كمية السّكر التي يتم تناولها، وذلك لأنّ البكتيريا الموجودة في الفم تحوّل السّكر إلى حمض يؤدي إلى تآكل الأسنان وتسوسها.
- أكل جذر عرق السّوس: يُعتقد أنّ تناول جذر عرق السّوس قد يساعد في علاج تسوّس الأسنان لاحتوائه على خصائص مضادة للجراثيم.
طبيّاً
لعلاج تسوّس الأسنان يلجأ طبيب الأسنان إلى أحد الحلول الآتية:[3]
- علاجات الفلوريد: قد يساعد علاج الفلوريد باستعادة مينا الاسنان في حالة الإصابة بالتسّوس في المراحل المبكرة جداََ، كما يمكنه عكس التّسوس، يوجد عدة أشكال لعلاجات الفلورايد، فقد تكون على شكل جل، أو رغوة، أو طلاء يمكن دهنه بالفرشاة على الأسنان، كما يمكن أن يكون على شكل سائل.
- حشوة الأسنان: تُستخدم حشوات الأسنان وهي مواد تُستخدم لترميم الأسنان عند تفاقم حالة التسّوس، ويمكن أن تُصنع الحشوات من البورسلان، أو الرّاتنجات المركبّة، أو قد تكون على شكل ملغم الأسنان وهي حشوات تصنع من عدة مواد ممزوجة معاََ.
- تيجان الأسنان: تاج السّن هو غطاء مدمج يمكن تركيبه على السّن ليحل محل التّاج الطّبيعي في حال تعرضّه لحالة تسوس متقدمة، وذلك بعد إزالة المنطقة المنخورة تماماََ، ويمكن أن تُصنع التّيجان من البورسلان عالي الصّلابة، أو البورسلان المنصهر في معدن، أو الرّاتنج، أو الذّهب.
- قناة الجذر: عندما يصل التّسوس إلى لب السّن يلجأ الطّبيب إلى فتح السّن وتشكيل قناة جذريّة لإصلاح السّن المتضرر بدلاََ من خلعه، ويتضمّن العلاج إزالة اللب، وقد يضع الطّبيب داخل القناة دواء يقضي على الالتهاب، ثم يستبدل اللّب بحشوة.
- خلع السّن: يلجأ الطّبيب لخلع السّن المنخور بشدة الذي لا يمكن علاجه بواسطة الطّرق السّابقة، وبعد خلع السّن يُنصح بزراعة سن آخر في الفجوة التي تظل بعد خلع السّن.
التخلّص من ألم تسوّس الأسنان
بانتظار الموعد المحدّد مع طبيب الأسنان يمكن التّخلّص من الألم المرافق لتسوّس الأسنان أو تخفيفه عن طريق:[1]
- استخدام مسكنات الألم التي تباع دون وصفة طبيّة.
- استخدام أدوية التّخدير بعد استشارة الطّبيب.
- تجنّب الأطعمة السّاخنة أو الباردة جداََ.
الوقاية من تسوس الأسنان
يمكن الوقاية من تسوس الأسنان عن طريق:[4]
- تنظيف الأسنان بعد الأكل والشّرب: يُنصح بتنظيف الأسنان بعد كل وجبة باستخدام معجون أسنان يحتوي على الفلورايد، واستخدام خيط الأسنان للتخلّص من البقايا التي قد توجد بين الأسنان.
- زيارة طبيب الأسنان بانتظام: يمكن من خلال الزّيارات المنتظمة لطبيب الأسنان الوقاية من مشاكل الأسنان، واكتشافها في مراحل مبكرة، كما أنّ تنظيف الأسنان المتخصّص في عيادة الطّبيب يحسّن من صحة الفم والأسنان، ويقي من التسّوس.
- غسل الفم: يُنصح الأشخاص المعرضون لخطر الإصابة بتسوس الأسنان بغسل الفم باستخدام غسول يحتوي على الفلورايد.
- استخدام الختام السّني: يُستخدم خاتم الشّقوق السّنيّة لغلق التّجاويف والشّقوق التي توجد في الأسنان الخلفيّة والتي يمكن أن يتراكم الطّعام فيها، ويمنع الطّلاء البلاستيكي المُستخدم لغلق التّجاويف وصول كل من الأحماض واللويحات السّنيّة إلى مينا السّن.
- شرب ماء الصّنبور: ينصح الأطباء بشرب ماء الصّنبور المضاف إليه الفلورايد الذي يمكن أن يساعد في تقليل تّسوس الاسنان، وعدم الاقتصار على شرب المياه المعبأة في زجاجات.
- الامتناع عن تناول الوجبات الخفيفة: يساعد تناول الأطعمة والمشروبات البكتيريا على إفراز الأحماض التي تسبّب تسوّس الأسنان، لذلك يُنصّح بالاقتصار على الوجبات الرّئيسيّة وعدم تناول الوجبات الخفيفة والمشروبات طوال اليوم وبذلك يمكن تقليل خطر تعرّض الأسنان للأحماض.
- تناول أطعمة تحافظ على صحة الأسنان: يُنصح بتناول الأطعمة التي تزيد من تدفّق اللعاب مثل الفاكهة والخضار الطّازجة، والأطعمة التي قد تساعد على تنظيف الفم من بقايا الطعّام مثل العلكة الخالية من السّكر، والقهوة والشّاي غير المحلى، في المقابل يجب تجنّب الأطعمة الأكثر عرضة للالتصاق بشقوق الأسنان مثل الحلوى، والبسكويت، ورقائق البطاطا.
- العلاج المضاد للبكتيريا: يُنصح الأشخاص الأكثر عرضة للإصابة بتسوس الأسنان باستخدام غسول الفم المضاد للبكتيريا للحد من مخاطر تسوّس الأسنان، كما يمكن مضغ العلكة المكونة من إكسيليتول مع الفلورايد الذي يصفه الطبيب.
المراجع
- ^ أ ب Valencia Higuera (15-11-2017), "Tooth Cavities"، www.healthline.com, Retrieved 22-10-2018. Edited.
- ↑ Lana Burgess (20-3-2018), "Are there natural ways to prevent cavities?"، www.medicalnewstoday.com, Retrieved 22-10-2018. Edited.
- ↑ "تسوس الأسنان/نخر الأسنان"، www.mayoclinic.org، 16-5-2018، اطّلع عليه بتاريخ 22-10-2018. بتصرّف.
- ↑ "تسوس الأسنان/نخر الأسنان"، www.mayoclinic.org، 16-5-2018، اطّلع عليه بتاريخ 22-10-2018. بتصرّف.
- ↑ فيديو: علاج خراج الأسنان.
المقال السابق: كيف أقضي على الرؤوس السوداء
المقال التالي: كيف يتم تشخيص القولون
كيف تتخلص من تسوس الاسنان: رأيكم يهمنا
0.0 / 5
0 تقييم
