كيف تعالج نزيف اللثة
نزيف اللثةهو حالة مرضية تتعرض لثة الإنسان إلى النزف لأسبابٍ تختلف من شخصٍ إلى آخر . كما قد يكون النزيف هذا مؤشراً يدل صاحبه على وجود أمراض معينة لديه كسرطان
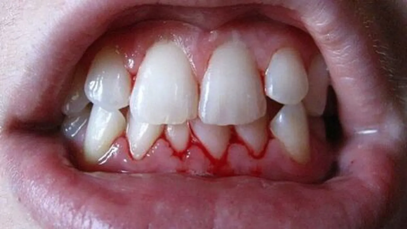
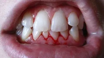
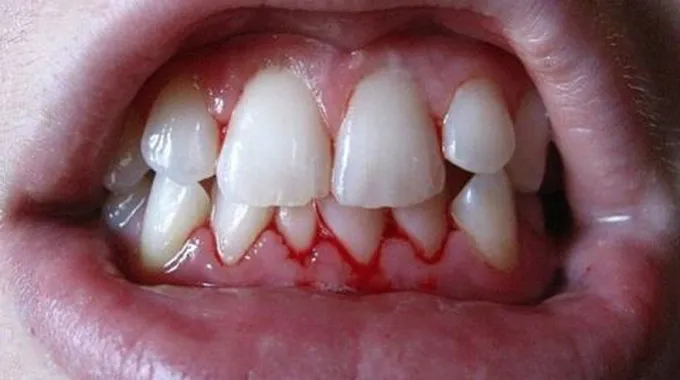
نزيف اللثة
هو حالة مرضية تتعرض لثة الإنسان إلى النزف لأسبابٍ تختلف من شخصٍ إلى آخر . كما قد يكون النزيف هذا مؤشراً يدل صاحبه على وجود أمراض معينة لديه كسرطان الدم ، أو اضطراب في الصفائح الدموية .
يحدث النزيف في اللثة لأسباب عدة ، قد تكون بسبب التهاب في اللثة ، أو استعمال فرشاة الأسنان بقسوة على اللثة . كما يحدث النزيف بسبب نفص فيتامين ج في الجسم ، أو بسبب نقص فيتامين ك ، أو وضع طقم أسنان بشكل خاطئ في الفم . أو بسبب حدوث اضطرابات في الهرمونات خصوصاً لدى المرأة الحامل . أو بسبب تعرض اللثة لجروح معينة .
أعراض نزيف اللثة
- النزيف وقت تنظيف الأسنان بالفرشاة بشكل ملحوظ .
- خروج الدم في اللعاب .
- تناول أغذية خشنة تساهم في النزيف .
- صدور رائحة كريهة من الفم .
و إن تعددت أسباب حدوث نزيف في اللثة ، إلا أن ( التهاب اللثة ) هو السبب الأكثر شيوعاً بين الأفراد . فعند عدم الاهتمام بنظافة الفم ، وتراكم البكتيريا مع الوقت عليها ، فطبقة البكتيريا هذه ( البلاك ) تتشكل على الأسنان و اللثة ، فتفرز هذه الكبتيريا سمومها ، وتؤدي إلى حدوث الالتهاب فيها . ذلك الذي بدوره يؤدي إلى حدوث النزيف فيها .
للوقاية من نزيف اللثة
- تنظيف الأسنان بالطريقة الصحيحة .
- استخدام خيط الأسنان لتنظيفها مرة واحدة على الأقل خلال اليوم .
- زيارة طبيب الأسنان كل ستة شهور .
- المضمضة بالماء الدافئ و الملح .
علاج اللثة
- الغرغرة بماء مالح لمدة 30 ثانية .
- و ضع كيس شاي في الماء المغلي ، و بعد ذلك نخرجه من الماء ليبرد ، و نضعه على مكان إصابة اللثة لمدة خمس دقائق .
- وضع على مكان الإصابة في اللثة العسل ، فهو كمطهر يطهر الفم من الجراثيم و البكتيريا .
- شرب عصير التوت البري ، حيث يساعد التوت البري في منع التصاق البكتيريا على الأسنان .
- تناول الأطعمة التي تحتوي على فيتامين سي ؛ كالليمون و البرتقال ، و العنب ، و المانجو ، و الكيوي ، و الفراولة أيضاً .
- تناول الأطعمة المحتوية على فيتامين د ، كسمك السلمون و البيض و زيت كبد الحوت . و التعرض لأشعة الشمس بشكل كافي .
- الإقلاع عن التدخين .
- المضمضة بملغي القرفة .
- شرب مغلي القرنفل .
- المضمضة بمزيج مسحوق حبة البركة و الخل .
- هرس الثوم ووضعه على مكان الآلام في اللثة .
المقال السابق: كيف تقوي شخصيتك
المقال التالي: كيف يمكن صنع المثلجات
كيف تعالج نزيف اللثة: رأيكم يهمنا
0.0 / 5
0 تقييم
