كيفية علاج التهاب اللثة
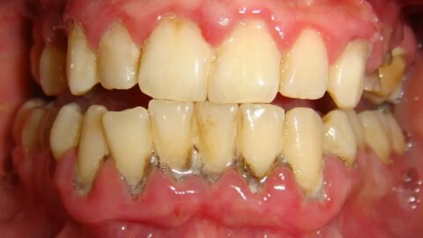
التهاب اللثةالتهابات اللثة، والذي يعتبره الأطباء مرض، ويطلق على هذا المرض أحياناً اسم (مرض دواعم الأسنان)، وأهم سبب في حدوث هذا المرض هو تجمع الجراثيم وتراكمها
التهاب اللثة
التهابات اللثة، والذي يعتبره الأطباء مرض، ويطلق على هذا المرض أحياناً اسم (مرض دواعم الأسنان)، وأهم سبب في حدوث هذا المرض هو تجمع الجراثيم وتراكمها في جوف الفم، بالقرب من اللثة، وعند تراكم الجراثيم بشكلٍ كبيرٍ وكذلك تكاسل الشخص وعدم مبالاته في تنظيف أسنانه والعناية بها يؤدّي إلى تآكل الأسنان، ويتطور هذا المرض إلى الوضع الخطير.
أعرض مرض اللثة
عندما يكون التهاب اللثة في المرحلة الأولى، لا تظهر أغلب العلامات والأعراض، مثل الشعور بالألم، وكذلك كما يقول الأطباء فقد يكون التهاب اللثة في مرحلة متقدمة وقد لا تظهر الأعراض بشكل واضح، وعلى الرغم من عدم ظهور العلامات والأعراض التهاب اللثة بشكل جيد، أو قد تكون طفيفة في الأغلب، إلّا أنه يوجد بعض الأعراض المميزة والتي تدل على وجود التهاب لثة، ومن هذه الأعراض:
- نزيف اللثة الذي يظهر عند استعمال فرشة الأسنان.
- حساسية اللثة، وتورمها الزائد.
- انبعاث الروائح الكريهة من الفم بشكل دائم.
- انحصار اللثة.
- تشكل الفجوات وظهور الجيوب العميقة بين اللثة والأسنان.
- تآكل الأسنان وتسوسها.
- تغيّر مكان الاسنان في طريقة التصاقها ببعضها البعض، ويظهر ذلك بوضوح عندما نقوم بإغلاق الفكين، وكذلك بالنسبة للأسنان الصناعية المركبة، ويجب الانتباه إلى أنه عند عدم ملاحظة أي من هذه العلامات، فمن المحتمل وجود التهاب في اللثة، بنسبة معينة، وقد يكون التهاب اللثة عند بعض الأشخاص في جزءٍ معين من اللثة وليس شرط أن تصيب الالتهابات كل اللثة ومنطقة الأسنان، وطبيب الأسنان المختص يستطيع أن يحدد درجة التهاب اللثة وخطورتها.
عوامل تسبّب حدوث التهاب اللثة
تغيّر في الهرمونات
مثل التغيّر الذي يحصل للهرمونات في مدة الحمل، وكذلك التغيرات التي تحدث للشخص في سن البلوغ، وفي سن اليأس، وفترة الدورة الشهرية، حيث تؤدي هذه التغيّرات إلى رفع حساسية الأسنان، ومن ثم يزيد احتمال حدوث التهاب اللثة.
تناول بعض الأدوية
أن تناول بعض الأدوية قد يسبب اضطراب في جوف الفم، حيث توجد الأدوية التي تخفض إنتاج اللعب، ومن المعلوم دور اللعب الفعال في تطهير الأسنان ومكافحته لجراثيم اللثة والأسنان، ومن أهم الأدوية التي تؤثر على الفم، مسببةً التهاب في اللثة، أدوية الاختلاجات، مثل دواء ديلانتين، والأدوية المستعملة في علاج البلعوم، ومن أهمها، دواء بروكارديا، ودواء أدالات التي لها سبب في تكون سطح زائد حول الأسنان.
أمور أخرى
العادات السيئة: وأهم هذه العادات، عادة التدخين، والذي يعمل على منع اللثة من تجديد نفسها، وقدرتها على التعافي.
- التنظيف والاهتمام بالأسنان: مثل: عدم القيام بتنظيف الأسنان، أو عدم المواظبة على تنظيفها بشكل مستمر ومنتظم، فعدم الاهتمام بالأسنان، يعتبر من العوامل المهمة لحدوث التهاب اللثة.
- العامل الوراثي: عندما تتواجد أمراض التهاب اللثة في العائلة، فقد تنتقل إلى بعض أفراد العائلة.
تشخيص المرض
عندما تقوم بالذهاب إلى الطبيب بشكل منتظم، فأن الطبيب يفحص مناعة اللثة ويكشف عن حالة الأسنان ومناعتها وبنيتها، ويفحص نزيف اللثة، ومقدار الجيوب والفراغات بين اللثة والأسنان، حيث كلما كانت الجيوب أعمق وأكبر، كان التهاب اللثة أكثر خطورة، ويقوم الطبيب كذلك بفحص حالة الفكين، وقوة العظام المحيطة بالأسنان، وبعد أن تطرّقنا إلى التعريف التهاب اللثة، والأسباب والعوامل التي تؤدي إليها، سوف نقوم الآن بذكر طريقة العلاج الصحية، للتخلص من التهاب اللثة بطريقة سليمة.
علاج التهاب اللثة
سوف نقوم بذكر العلاجات صحية للتخلص من هذا الالتهاب، والتي تعطي نتائج رائعة، وتحفز اللثة، وتؤدي إلى التصاقها بسطح الأسنان، وتخفض الفجوات وتجليها، وتقلص وتنهي الجيوب العميقة بين اللثة والأسنان، لكن يجب التنبيه إلى أن الاستجابة للعلاج، متعلقة بالمرحلة التي وصل إليها المريض، وأيضا مدى استجابة جسم المريض للعلاج، وكذلك الحالة الصحية التي يمر بها المريض، وبشكلٍ عام، فإنّ علاج اللثة تتروح بين العلاج الذي لا يتطلب عملية جراحية، وبين العلاج الذي يتطلب بالعملية الجراحية، ويؤكد لنا المختصون والأطباء أنه يمكننا علاج التهاب اللثة بشكل كامل وفي كل الحالات، وذلك باتباع العلاج السليم.
من خلال مراقبة طبقة الجراثيم المتراكمة على سطح الأسنان والعمل على معالجتها من خلال الطبيب المختص، حيث يشمل هذا العلاج التنظيف المنتظم مرتين أو ثلاث مرات كل عام، وكذلك استعمال النصاح السني -خيط رقيق من النايلون يستخدم لتنظيف الأسنان-، وتنظيف الأسنان بواسطة فرشاة الأسنان والمداومة على ذلك لأهميتها الكبيرة في تطهير الاسنان.
الوقاية من هذا المرض
أن تنظيف الأسنان بواسطة فرشاة الأسنان، يؤدي إلى التخلص من طبقات البكتيريا والجراثيم المتراكمة حول الأسنان، وكذلك يمنع تكوّنها حول سطح الأسنان، وأما النصاح السني الذي يعمل على إزالة بقايا الطعام والجراثيم ويزيلها من بين فراغات الأسنان، ومن خط اللثة الملتصق بالأسنان، وتخبرنا منظمة أطباء الأسنان الأمريكية: أن منتجات تطهير الفم المكافحة للبكتيريا والجراثيم يمكنها معالجة التهاب اللثة والقضاء على طبقات الجراثيم، ويجب الاهتمام إلى عاداتنا اليومية: فعندما نقوم بتغير العادات من أجل المحافظة على الأسنان والتقليل من خطر الإصابة بالتهاب اللثة ومنعه من التكون حول طبقات الأسنان، أو تقليل من خطورته واستفحاله، ومن هذه العادات الهامة التي يجب تطبيقها في حياتنا اليومية:
- الامتناع عن التدخين، الذي يعرق عمليات شفاء اللثة.
- أن نتبع نظام الغذاء الصحي الذي يفيد الجسم، ويؤثر على الأسنان بطريقة إيجابية.
- تجنب الضغط على الاسنان، فإنّك تعرضها للاهتزاز وتضعف من بنيتها.
- اجتناب الضغوط العصبية النفسية.
تفيد أغلب الدراسات، وبخاصة توجيهات أكاديمية طب الأسنان الأمريكي بأن 30% من الأشخاص الذين يعتنون بنظافة الفم، والذين يقومون على أسلوب عيش صحي، معرضون لمرض التهاب اللثة، وذلك لعوامل وراثية، أي أن الأشخاص المعرضون لالتهاب اللثة بسبب العوامل الوراثية هم أكثر من غيرهم وبخمس أضعاف معرضون للإصابة به، ولذلك من المرجح أن يكون أحد أفراد العائلة الذي يعاني من مرض التهاب اللثة، أن يكون السبب وراء مرضه هو عامل وراثي.
لذلك ينصح الأشخاص الذين لديهم احتمال كبير للإصابة بهذا المرض، أن يحرصوا على زيارة الأطباء المختصين، حتى يجري الفحوصات اللثة والأسنان، والخضوع للعلاجات اللازمة أكثر من أي شخص عادي وعلى فترات دورية متقاربة، وذلك للسيطرة على المرض، والعمل على حصره وعدم استفحاله.
يجب الإشارة إلى أن هناك العلاجات المنزلية الهامة أيضا والتي ينصح الأطباء بالأخذ بها، ومنها صناعة محلول من الملح، وذلك بخلط كوب من الماء الفاتر مع كمية قلية من الملح، وتغرغر به لمدة لا تقل عن نصف دقيقة، وكرر ذلك عدة مرات في اليوم، وذلك لفاعلية المياه المالحة في التقليل من تورم اللثة، بالإضافة للعلاج بواسطة أكياس الشاي: حيث تقوم بوضع كيسان من الشاي في ماء مغلي، ثم نخرج الأكياس، ونحرص على برودتها، ثم نقوم بوضع كيس على اللثة المصابة ولمدة لا تقل عن 5 دقائق، وذلك لاحتواء الشاي على مادة التنيك، والذي يعمل على تخفيف التهاب اللثة.
المقال السابق: كيف تزرع الأشجار
المقال التالي: كيفية علاج السمنة
كيفية علاج التهاب اللثة: رأيكم يهمنا
0.0 / 5
0 تقييم
