طريقة استخدام السواك
السواكعودٌ ذو طعم لاذِع يُستَخدم في تَنظيف الأسنان، يُؤخذ من شجرة الأراك التي تنمو في الأماكن الحارة والاستوائية، وهو سنّة نبويّة حثّ رسول الله صلى الله عليه
السواك
عودٌ ذو طعم لاذِع يُستَخدم في تَنظيف الأسنان، يُؤخذ من شجرة الأراك التي تنمو في الأماكن الحارة والاستوائية، وهو سنّة نبويّة حثّ رسول الله صلى الله عليه وسلم على استخدامه، وكان هو نفسه دائمَ الاستخدام له حتى عند وفاته. تتجلّى أهميته في الحديث الشريف: (لولا أن أشقَّ على أمّتي لأمرتهم بالسواك عند كل وضوء) [رواه البيهقي].
كثيرٌ من الناس يَستخدمون السواك بشكل عشوائيّ؛ لجهلهم بالطريقة الصحيحة التي تعمل على تطهير الفم وتحمي اللثة من الالتهاب والأمراض الأخرى التي تصيبها، وتحافظ على الأسنان بيضاء ناصعة محميّة من التسوس والبكتيريا.
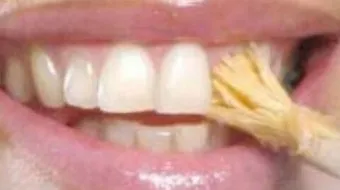
طريقة استخدام السواك
- قُصَّ القشرة الخارجية بالسكين أو بأداة أخرى، وحاول فرد الشُّعيرات وتليينها قبل استخدامها.
- ضع السواك بشكل عمودي على السطح الخارجي للأسنان، وحرّكه بشكل عرضي ليمرّ على اللثة بلطف.
- ضع طرف السواك على الأسطح الداخلية للأسنان وحرّك بلطف أيضاً بالطريقة نفسها، وننوّه إلى أنّه يُستحبّ الاستياك بدءاً باليمين تطبيقاً للسنة.
- اغسل السواك كلّما استخدمته وبعد الانتهاء من استخدامه وذلك لتحافظ على نظافته.
- قص رأس السواك يومياً.
- ضع السواك في غلاف مُغلق وتجنّب تعريضه للهواء كي لا يلتقط البكتيريا والأوساخ.
- استخدم الفرشاة والمعجون إلى جانب السواك لتنظيف الأسنان من الطعام المتخلّل إلى داخلها.
- لا تستغنِ بالسواك عن طبيب الأسنان؛ فهو وقاية وحماية لا علاج، وعليك الذهاب إلى الطبيب إن احسست بألم أو تسوس في أسنانك.
فوائد استخدام السواك
- تطهير الفم.
- تكثير الحسنات وزيادة الأجر في حال نوى المسلم به تَطبيق السنة.
- طرد البلغم.
- زيادة فصاحة اللسان.
- تسهيل النزع.
- تقوية البدن.
- تنقية الصّوت.
- جلاء البصر.
- تسهيل هضم الطعام.
- التنشيط للصلاة والذكر وقراءة القرآن.
- شدّ اللثة وتطهيرها وشفاء جروحها ومنع نزف الدم منها.
- تبييض الأسنان وإزالة تصبّغاتها وحمايتها من التسوس وقتل الجراثيم.
- المساعدة على ترك التدخين.
- التذكير بالشهادة.
- تنقية الدماغ.
- علاج الصداع.
أوقات استخدام السواك
- عند الوضوء.
- عند الصلاة.
- عند دخول المنزل.
- عند قراءة القرآن.
- عند تغير رائحة الفم بسبب طعام أو قيام من نوم أو مكوث فترة دون طعام.
- عند اصفرار الأسنان.
- عند الاستيقاظ من النوم.
- قبل صلاة الجمعة.
- عند الذهاب للنوم.
- عند دخول المسجد.
- عند الاحتضار.
آداب استخدام السواك
- حفظه في الأماكن النّظيفة وإبقاؤه بعيداً عن كلّ مكان فيه قذارة.
- غسله بعد استعماله لإزالة ما علق به من طعام.
- مُحاولة الاستياك دوماً بَعيداً عن الجماعة وفي الأماكن العامة حفاظاً على المروءة.
المقال السابق: فوائد الزنجبيل للوجه
المقال التالي: ما هي فوائد صلاة الجماعة
طريقة استخدام السواك: رأيكم يهمنا
0.0 / 5
0 تقييم
