حلول لتصبغات الأسنان
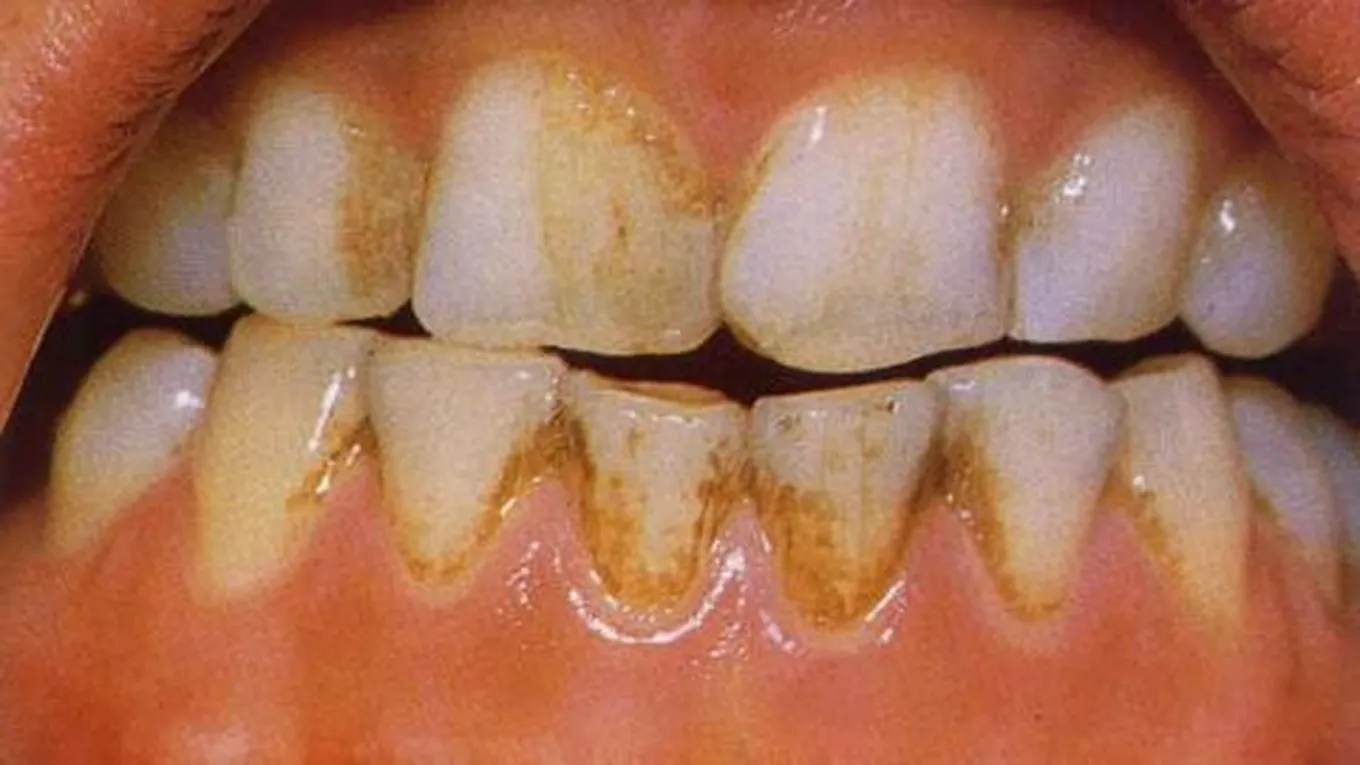
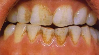
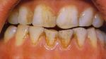
حلول للتخلّص من تصبّغات الأسنانتعتبر الأسنان النظيفة والبيضاء سر الابتسامة الجميلة، ولكن يعاني العديد من الأشخاص من ظهور البقع والتصبّغات عليها، وذلك بسبب
حلول للتخلّص من تصبّغات الأسنان
تعتبر الأسنان النظيفة والبيضاء سر الابتسامة الجميلة، ولكن يعاني العديد من الأشخاص من ظهور البقع والتصبّغات عليها، وذلك بسبب الإكثار من شرب الشاي والقهوة والعصائر الملوّنة، أو بسبب التدخين وقلّة النظافة أو نتيجة العوامل الوراثية وغيرها من الأسباب الأخرى، ولكن من الممكن التخلّص من هذه التصبّغات وعلاجها باتباع وصفاتٍ طبيعيّةٍ وبسيطة، سنعرّفكم عليها في هذا المقال.
الليمون الحامض
يستخدم من خلال مزج القليل من صودا الخبز مع عصير الليمون، وتطبيق المزيج على الأسنان المتصبّغة لمدّة عشر دقائق قبل شطفها بالماء الفاتر، حيث إن لليمون القدرة على تفتيح لون السنّ بسبب احتوائه على حامض الستريك.
زيت الزيتون
يساعد وضع الزيت على الأسنان واللثة على تقويتها ووقايتها من الإصابة بالالتهابات المختلفة، هذا بالإضافة إلى تبييض لون الأسنان والتخلّص من تصبّغاتها، حيث ينصح بتغطيس الفرشاة بالزيت، وفرك الأسنان بها لبضع دقائق.
ورق الغار
هو من العلاجات الفعّالة والقوية لتبييض الأسنان والتخلّص من البقع التي تظهر عليها، حيث يجب مزج كمية من أوراق الغار مع قشر البرتقال في الخلاط الكهربائي لحين الحصول على مزيجٍ متماسك، ومن ثم غسل الأسنان به لغاية الحصول على النتائج المطلوبة.
الخلّ
يفضّل استخدام خل التفاح، بحيث يتم مزجه مع القليل من صودا الخبز، وفرك الأسنان بالمزيج مرتين في اليوم وبشكلٍ يومي لحين اختفاء التصبّغات بشكلٍ نهائي.
الفراولة
للفراولة خصائص مفتّحة ومبيّضة، حيث يجب هرس كمية من ثمار الفراولة مع صودا الخبز، وتطبيق المزيج على الأسنان وتركه لمدّة عشر دقائق، قبل فركه بالفرشاة وشطفه بالماء.
النعناع
عدا عن الرائحة المنعشة التي يمنحها النعناع للفم، فهو يعمل أيضاً على تفتيح لون الأسنان وتبييضها، وذلك من خلال مزجه مع زيت الزيتون، ودهن الأسنان بالمزيج لمدّة عشر دقائق.
المريمية
مزج المريمية وملح الطعام للحصول على عجينةٍ متماسكة، ووضعها في الفرن المسخّن على درجة حرارةٍ متوسّطة حتى تتحمّص ومن ثم فركها لتتحوّل إلى مسحوقٍ ناعم، وتطبيق هذا المسحوق على الأسنان.
العسل الطبيعيّ
مزج كمية من العسل الطبيعيّ الأبيض مع معجون الأسنان، وفرك الأسنان جيداً بهذا المزيج، مع مراعاة المواظبة على استخدامه للحصول على النتائج المطلوبة، ويشار إلى أنّه عدا عن تبييض الأسنان، فإنّ هذا المزيج يعمل على تقوية الأسنان والوقاية من التهابات اللثة.
البرتقال
حيث يتم أخذ قشور البرتقال وفرك الأسنان المتصبغة بها، وستلاحظ النتيجة مع الاستخدام.
صودا الخبز
صودا الخبز معروفة علمياً باسم بيكربونات الصوديوم، وهي من أهم المواد المستخدمة في علاج مشاكل الأسنان واللثة، حيث إنّها تدخل في صناعة معاجين الأسنان والموادّ المطهّرة.
الحلول الطبيّة
زيارة طبيب الأسنان للقيام بعلاج التصبغات من خلال تنظيف الأسنان أو تلبيسها، أو إجراء التبييض لها بالليزر، وباستخدام الأدوية الخاصة.
نصائح للعناية بالأسنان
- زيارة طبيب الأسنان بشكلٍ دوري لتنظيف الأسنان والتخلّص من البلاك والجير، وعلاج التسوّس إن وجد.
- تنظيف الأسنان بشكلٍ يوميّ، وبمعدل مرتين على الأقلّ.
- استخدام خيط الأسنان لإزالة الأوساخ من بين الأسنان.
- التقليل من شرب المنبّهات والأكلات الملوّنة، وتجنّب التدخين.
المقال السابق: كيفية التخلص من حب الشباب في الوجه
المقال التالي: ما هو الفرق بين النفس والروح
حلول لتصبغات الأسنان: رأيكم يهمنا
0.0 / 5
0 تقييم
