مراحل تسوس الأسنان
تسوّس الأسنانإنّ مشكلة تسوس الأسنان مشكلة شائعة تصيب الجميع الكبار والصغار تماماً مثل الزكام والرشح فكلاهما مرض منتشر لدى الكبار والصغار، ولتسوّس الأسنان
تسوّس الأسنان
إنّ مشكلة تسوس الأسنان مشكلة شائعة تصيب الجميع الكبار والصغار تماماً مثل الزكام والرشح فكلاهما مرض منتشر لدى الكبار والصغار، ولتسوّس الأسنان العديد من الأسباب أهمّها تناول السكريّات والنشويّات، فتسوّس الأسنان ينشأ بسبب نوع من البكتيريا المتواجدة في الفم وهذه البكتيريا تقوم بتحويل السكريّات والنشويّات إلى أحماض تهاجم الأسنان، وقد يكون التسوس في الأسنان الأماميّة أو الخلفيّة (الطواحين)، وتُصاب الأسنان الخلفيّة بالتسوّس أكثر من الأماميّة نظراً لوجود فجوات فيها ممّا يسهّل على الجراثيم نخرها.
ومن أهم الأسباب الأخرى لتسوس الأسنان هو عدم تنظيفها بعد كل وجبة بالفرشاة والمعجون وتبقى آثار الطعام موجودة على الأسنان خاصّة إن كانت هذه الأطعمة تحتوي على النشويّات والسكريّات.
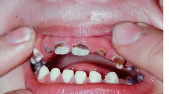
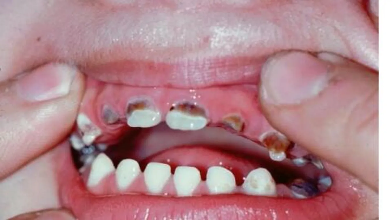
مراحل تسوّس الأسنان
في بداية التسوس تظهر بقعة بيضاء على السّن تتحوّل فيما بعد إلى اللّون الأصفر الذي يشكل طبقة تتجمّع فيها البكتيريا التي تقوم بتحويل بقايا الطعام إلى أحماض تذيب الكالسيوم الموجود على سطح السنّ، ثمّ تندمج الأحماض مع البكتيريا مسبّبةً طبقة لزجة تلتصق بالسنّ، ممّا يعمل على ذوبان طبقة المينا الموجودة على السنّ ويبدأ التسوّس، وقد لا يشعر الإنسان بالألم في هذه الفترة ولا يلاحظ التسوّس إلا بعد وصول التسوّس إلى مراحل متقدّمة مسبّبة تكسّر السنّ وألم يمتدّ إلى عصب السن الذي يشعر به المريض في اللّيل وقد يصل التسوّس إلى جذور الأسنان مسبّبا القيح.
علاج التسوّس
أمّا علاج تسوس الأسنان والذي يتمّ في عيادة طبّ الأسنان فهو لا يعيد السن إلى ما كان عليه من قبل ولكن توضع حشوة بعد التخلّص من السوس الموجود في السنّ ممّا يعمل على إيقاف عمليّة التسوّس والمحافظة على السنّ من فقدانه بشكل كامل، لكن يجب المحافظة على الأسنان من خلال تنظيفها حتّى بعد الحشو فمن الممكن أن تتآكل الحشوة وتعود البكتيريا لنخر السنّ من جديد لذلك نرى أنّ هناك من يلجأ إلى حشو السنّ أكثر من مرّة وهناك أبحاث ودراسات لعمل حشوات تدوم لفترة طويلة دون أن تتآكل.
إنّ المحافظة على نظافة الأسنان بشكل يوميّ تمنع التعرّض للتسوّس والإصابة بألم الأسنان، فألم الأسنان عندما يكون حاداً يصعب على الإنسان المصاب القيام بمهامه اليومية، فهو ألم غير محتمل خاصة إن كان التسوّس قد وصل إلى عصب السنّ لذلك يجب تنظيفها يوميّاً بعد كل وجبة، وتجنّب أكل الحلويّات بكمّيّات كبيرة خاصّة في الليل لأنّ البكتيريا التي في الفم يكثر نشاطها خلال النوم، ومن المهم عدم الإسراف في تناوُل المشروبات الغازيّة التي تسبّب أكبر ضرر للأسنان، وإذا ما لاحظ الشخص أيّ تغيّر في لون السنّ أو وجود مادّة بيضاء خشنة على السن فيجب زيارة طبيب الأسنان لمعالجة التسوّس قبل أن يتطوّر، كما أنّ زيارة طبيب الأسنان يجب أن تكون بين فترة وأخرى للاطمئنان على سلامة أسنانه.
المقال السابق: طريقة سلطات لذيذة
المقال التالي: مراحل تحلل الجثة
مراحل تسوس الأسنان: رأيكم يهمنا
0.0 / 5
0 تقييم
