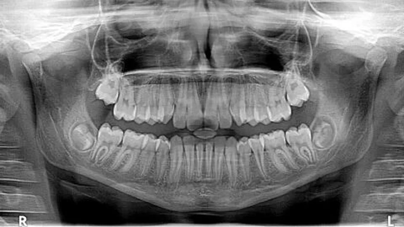
عدد الضروس والأسنان
الضروس والأسنانالضروس والأسنان هي أجزاء مهمة في الجسم، وهي موجودة بشكل عام عند الإنسان والثديات من الحيوانات، وتتكون الضروس والأسنان من تركيبات عظمية صلبة
الضروس والأسنان
الضروس والأسنان هي أجزاء مهمة في الجسم، وهي موجودة بشكل عام عند الإنسان والثديات من الحيوانات، وتتكون الضروس والأسنان من تركيبات عظمية صلبة تحتوي على عدة أجزاء؛ ومن بينها: جذور مغمورة في اللثة، حيث تحتوي اللثة على جيوب موجودة داخل الفكين.
يكمن الفرق بين الضروس والأسنان في أن الأسنان تكون أمامية أما الضروس فهي الأسنان الخلفية، والسن أو الضرس عبارة عن تجويف يتكون من عدة طبقات؛ وهي: لب السن الذي يتكون من أوعية دموية وأعصاب، ويكون اللب محاطاً بالعاج الذي يعتبر الطبقة الوسطى للسن، ويكون العاج مغلفاً بطبقة المينا ليعطي التاج، والتاج هو الجزء الظاهر من السن أو الضرس، أما جذر السن فيسمى الملاط السني، والجدير بالذكر أن للضروس والأسنان فوائد كثيرة، أهمها: المساعدة على نطق الأحرف والكلمات، ومنح المظهر الجميل للفم والوجه، وتقطيع وسحق الطعام.
أنواع ووظائف الضروس والأسنان
القواطع
القواطع هي الأسنان الموجودة من الأمام وعددها أربعة أسنان، وتكون موجودة في الفكين السفلي والعلوي، حيث يوجد في كل فك سنّين، ويُطلق عليها أيضاً اسم الثنايا، أما العدد الكلي للقواطع فيبلغ ثمانية؛ أربعة في كل فك، أما مهمة القواطع فهي تقطيع الطعام وتمزيقه، والمساعدة على النطق بطريقةٍ صحيحة، ومنح الجمال للوجه.
الأنياب
تتميز الأنياب بحدتها، وبأنها ذات رأس دقيق، ولها شكل مخروطي، ويبلغ العدد الكلي لها أربعة أنياب، حيث يوجد اثنان في كل فك، ومهمتها مساعدة القواطع على تمزيق الطعام.
الضواحك
الضواحك هي الأضراس الأمامية، ويُطلق عليها عليها اسم النواجذ، وتتميز بأن تيجانها أكبر من الأنياب والقواطع، ويبلغ عددها الكلي ثمانية ضواحك، حيث يوجد اثنين بجانب كل ناب، أي أربعة ضواحك في كل فك، ووظيفتها طحن الطعام.
الطواحن
الطواحن هي الأضراس الخلفية التي تطحن الطعام، وتتميز بأن حجمها كبير، وتوجد إلى جانبي الضواحك، وهي أكبر حجماً منها، والتاج الخاص بها يكون سطحاً ماضغاً، ويبلغ عددها الكلي اثني عشر طاحناً، ستة في الفك السفلي وستة في الفك العلوي، وهي أقوى الأسنان والضروس.
ضروس العقل
يُطلق على ضروس العقل أيضاً اسم الضرس الثالث، وهي آخر الأسنان التي تنشأ، وتظهر عند الإنسان بعد سن البلوغ، وعادةً تظهر في سن متأخرة، ما بين سن الثامنة عشرة والخامسة والعشرين، وعددها أربعة ضروس، وفي بعض الأحيان تظل مطمورةً في اللثة، ولا تظهر إلا بإجراء عملية جراحية للتخلص منها، وخصوصاً إن كانت تسبب الألم، ورغم تسميتها بأضراس العقل إلا أنه لا علاقة لها بنمو العقل.
المقال السابق: طريقة سريعة للتخلص من دهون البطن
المقال التالي: أبرز شخصيات العالم
عدد الضروس والأسنان: رأيكم يهمنا
0.0 / 5
0 تقييم
