ما هي أمراض اللثة
اللثةسقوط الأسنان من المشكلات المزعجة جدّاً التي قد تصيب الفرد نظراً للأهمية الكبيرة التي تقوم بها الأسنان، كما أنّ المظهر الجمالي للفم يتغيّر عند إصابة
اللثة
سقوط الأسنان من المشكلات المزعجة جدّاً التي قد تصيب الفرد نظراً للأهمية الكبيرة التي تقوم بها الأسنان، كما أنّ المظهر الجمالي للفم يتغيّر عند إصابة الأسنان أو اللثة بأي من المشاكل، لذا كانت الابتسامة التي تكشف عن لثة غير صحيّة دائماً محط ازعاج وإحراج.[1]
ومن الناحية الوظيفية تقوم اللثّة بحماية الأسنان وتثبيتها وفي حال تعرّض اللثة لأي مشكلة تصبح الأسنان أيضاً بدورها في خطر كبيركما أنّ أمراض اللثة تؤثرعلى الجسم بشكل عام، إلى جانب إمكانيّة الإصابة بأمراض مختلفة بسببها مثل مرض السكري وأمراض القلب، ومن خلال اللثة قد يدخل الكثير من الجراثيم إلى الجسم وبالتالي التسبّب بالكثير من الأمراض، لذلك فإنّ الاهتمام باللّثة والعناية بها بالطرق الّصحيحة من الأمور المهمّة في روتين الحياة، وكلما كانت عملية اكتشاف المشكلات في اللثة مبكّرة كلّما كان العلاج أسهل وسهل السيطرة عليه.[1]
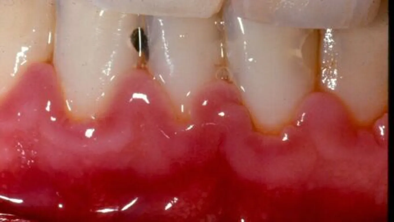
التهاب اللثة
من أشهر الأمراض التي تصيب اللثة هو الالتهاب الذي يصيبها بسبب دخول الجراثيم إليها، كما أن تغير الهرمونات أثناء فترة الحمل قد تسبب للمرأة الإصابة بالتهاب اللثة، والتدخين، والإصابة بمرض السرطان ومرض الإيدز، تناول بعض أنواع من الأدوية التي تؤثر على اللثة وقدرتها في التجدد والالتئام، التوتر والقلق فقد أثبتت الدراسات أن القلق والتوتر الزائدين يؤثران على صحة الإنسان وجهاز المناعة بالذات وبذلك تصبح مقاومته للأمراض والشفاء منها يتم ببطء شديد، والتهاب اللثة من هذه الأمراض التي تحدث بسبب التوار والقلق الزائدين. ومرض التهاب اللثّة تحديداً يصيب جميع الأفراد في كافّة الأعمار والأجناس، وتالياً نضع لك عزيزي القارئ أعراض التهاب اللثة وطرق علاجها.[2]
أعراض التهاب اللثة
لا تظهر أي أعراض في بداية التهاب اللثة ولكن في الحالة المتقدّمة من الالتهاب قد تظهر بعض الأعراض مثل:[3]
- نزول الدّم من اللثة عند تنظيف الأسنان بالفرشاة والمعجون، وأحياناً قد تنزف اللثة دون سبب.
- حدوث التورّم والانتفاخ في اللثة.
- تغيّر لون اللثة إلى الأحمر القاني.
- خروج الروائح الكريهة من الفم بسبب الالتهاب.
- تراجع حدود اللثة وظهور مناطق أكبر من الأسنان.
- البدء بسقوط الأسنان.
- ظهور الفراغات بين الأسنان.
طرق علاج التهاب اللثة
ومن طرق العلاج:[4]
- تناول المضادات الحيويّة التي تساعد في القضاء بسرعة على الجراثيم المسبّبة للالتهاب.
- استخدام المحلول الملحي في الغرغرة لأكثر من مرّة ّفي اليوم فهو يعمل على القضاء على الجراثيم ويمنع انتشارها.
- فرك اللثة بزيت القرنفل أو بحبة قرنفل مطحونة.
- دهن اللثة بالعسل فهو معقّم طبيعي كما يحتوي على العناصر التي تساعد اللثّة على التجدّد والتئام الجروح فيها.
- دهن اللثة بعصير الليمون فهو معقّم طبيعي كما أنّه يحتوي على فيتامين ( سي )، الذي يساعد اللثة في مقاومة الأمراض.
- استخدام الطريقة الصحيحة في تنظيف الأسنان واستخدام الفرشاة الناعمة والمعجون المناسب.
المراجع
- ^ أ ب Donna S. Bautista, DDS, "Gum Problems"، medicinenet, Retrieved 8-6-2018. Edited.
- ↑ Christine Frank, DDS (5-1-2018), "Causes and treatment of gingivitis"، www.medicalnewstoday.co, Retrieved 8-6-2018. Edited.
- ↑ Mayo Clinic Staff (4-8-2017), "Gingivitis"، www.mayoclinic.org, Retrieved 8-6-2018. Edited.
- ↑ "Print This Gingivitis Treatment: How to Treat Gingivitis at Home", crest, Retrieved 8-6-2018. Edited.
المقال السابق: ما هو علاج التهاب لثة الأسنان
المقال التالي: ما هو أفضل علاج لضغط الدم المرتفع
ما هي أمراض اللثة: رأيكم يهمنا
0.0 / 5
0 تقييم
