ما هي أعراض خراج الأسنان - فيديو
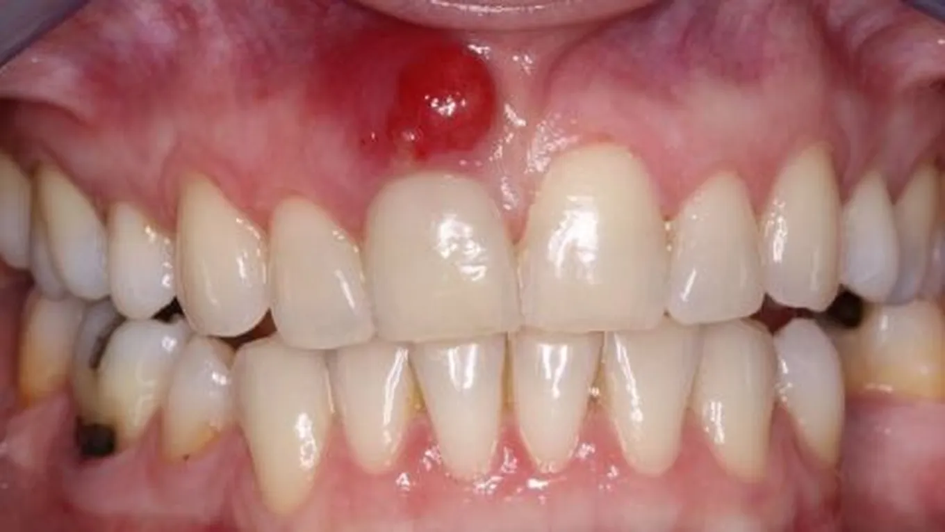
خراج الأسنانخراج السن، أو القيح، أو الصديد، أو البعض يُسمّيه المدة يظهر في السن عند إصابةٍ مُعيّنة.
خراج الأسنان
خراج السن، أو القيح، أو الصديد، أو البعض يُسمّيه المدة يظهر في السن عند إصابةٍ مُعيّنة.
أعراض خراج الأسنان
توجد عدد من الأعراض التي تدلّ على إصابة الأشخاص بالخراج، مثل:
- ألم حاد عند المريض في جَميع أسنانه، أو قد يكون في مكانٍ مُعيّن.
- ألم في الأسنان من أيّ شيء ساخن أو بارد.
- ألم عند المضغ.
- ظهور رائحة نفس كريهة.
- طعم مر في الفم.
- تورّم اللثة واحمرارها.
- تورّم في الفك العلوي أو السفلي.
- تورّم في الغدد.
- قد تحصل قرحة تسبّب إفرازات على جانب اللثة.
اختفاء خراج الأسنان
قد تختفي الأعراض لدينا ولا يشعر المريض بأيّ نوعٍ من أنواع الألم أو الحساسية والأعراض السابقة التي ذكرناها، لكن هذا لا يَعني أنّ العدوى اختفت بل على العكس فهي تكون مستمرّةً أو نشطة، وتُدمّر الأنسجة الداعمة واللثة، وفي هذه الحالة يجب مراجعة الطبيب لإجراء العلاج المُناسب للمُحافظة على السن وحمايته.
المقال السابق: إعداد فلفل محشي بالطريقة التونسية
المقال التالي: طرق انتقال مرض الملاريا
ما هي أعراض خراج الأسنان - فيديو: رأيكم يهمنا
0.0 / 5
0 تقييم
5
(0)
4
(0)
3
(0)
2
(0)
1
(0)
