ما هو نزيف المخ
نزيف المخيُعرّف نزيف المخّ (بالإنجليزية: Brain hemorrhage) على أنّه نزيف يحدث داخل الجمجمة، وله عدّة أنواع تختلف تِبعاً لمكان حدوثه، فهناك نزيف في المخّ
نزيف المخ
يُعرّف نزيف المخّ (بالإنجليزية: Brain hemorrhage) على أنّه نزيف يحدث داخل الجمجمة، وله عدّة أنواع تختلف تِبعاً لمكان حدوثه، فهناك نزيف في المخّ (بالإنجليزية: Intracerebral hemorrhage) يحدث داخل فُصيّ الدماغ دون حدوث نزيفٍ حولها، ونزيف تحت العنكبوتيّة (بالإنجليزية: Subarachnoid hemorrhage) يحدث بين أنسجة الدماغ والطبقة العنكبوتيّة التي تقع فوقه مباشرة، ونزيف تحت الجافية (بالإنجليزية: Subdural hemorrhage) الذي عادةً ما يحدث نتيجة التعرّض لضربة مباشرة على الرأس أو في حالات السقوط، ونزيف فوق الجافية (بالإنجليزية: Epidural hemorrhage).[1]
أسباب نزيف المخ
هناك مجموعة من الأسباب تُساهم بحدوث نزيف المخّ بأنواعه المختلفة، ومن أبرز هذه الأسباب ما يأتي:[2]
- ضربات الرأس: حيث تُعدّ أشهر أسباب نزيف المخّ عند الأشخاص الذين تقلّ أعمارهم عن 50 عاماً.
- ارتفاع ضغط الدّم: يسبب ارتفاع ضغط الدّم على المدى البعيد إضعاف جدران الأوعية الدمويّة الموجودة في المخ، ممّا يزيد من سهولة انفجار هذه الأوعية وحدوث النزيف.
- تمدّد الأوعية الدموية (بالإنجليزية: Aneurysm): يؤدّي تمدّد الأوعية الدموية لحدوث انتفاخ يشبه البالون في المناطق الضعيفة الموجودة على طول جدران الأوعية الدموية، وعند انفجار هذا الانتفاخ يؤدي لنزيفٍ حادّ يتسبب بحدوث سكتة دماغية (بالإنجليزية: Stroke).
- اعتلالات الأوعية الدمويّة (بالإنجليزية: Blood vessels abnormalities): قد يولد بعض الأشخاص بضعف في عضلات الأوعية الدموية الموجودة في الدماغ، مما قدّ يؤدي لحدوث نزيف دماغيٍّ في المستقبل.
- الاعتلال الوعائي النشواني (بالإنجليزية: Amyloid angiopathy): حيث يحدث هذا النوع من الاعتلالات الوعائية عادةً مع التقدّم في العمر، وعند المرضى المصابين بارتفاع ضغط الدم، إذ يتسبّب بنزيف دموي صغير غير ملاحظ قبل حدوث نزيف دموي كبير.
- اضطرابات النزيف (بالإنجليزية: Bleeding disorders): كالنُزاف (بالإنجليزية: Hemophilia) أو فقر الدم المنجلي (بالإنجليزية: Sickle cell Anemia)، إذ يُساهمان في تقليل عدد الصفيحات الدموية (بالإنجليزية: Blood platelets) المسؤولة عن تخثّر الدّم في حالات وجود النزيف.
- أمراض الكبد (بالإنجليزية: Liver diseases): حيث ترتبط أمراض الكبد عموماً بزيادة قابلية الجسم للنزيف.
- أورام الدماغ (بالإنجليزية: Brain Tumors).
أعراض نزيف المخ
تختلف أعراض نزيف المخ تِبعاً لمكان النزيف، وشدّته، وحجم المنطقة المتأثّرة في الدماغ، إذ يتباين ظهور الأعراض، فقد تأتي بشكلٍ مُفاجئ أو على نحوٍ تدريجيّ، وتُعتبر هذه الأعراض ناقوس خطرٍ يهدد حياة الإنسان، فتتوجّب عليه مراجعة الطبيب بأسرع وقت ممكن، ومن الجدير بالذّكر أنّ بعض هذه الأعراض قد لا تكون بسبب نزيف المخّ بل قد تظهر نتيجةَ الإصابة بأمراض أخرى، ومن أبرز هذه الأعراض ما يأتي:[3][2]
- الإحساس بوخز، وضعف، وخدران في الوجه، أو الذراع، أو الساق، وعادةً ما تُصيب طرفاً واحداً من الجسد.
- الصداع الشديد والمُفاجئ.
- صعوبة في البلع.
- مشاكل في الرؤية.
- فقدان التوازن.
- صعوبة في الفهم.
- صعوبة في الكلام أو التلعثُم.
- الكسل، أوالخمول، أو فقدان الوعي.
- الإصابة بنوبات الصرع دون إصابة سابقة.
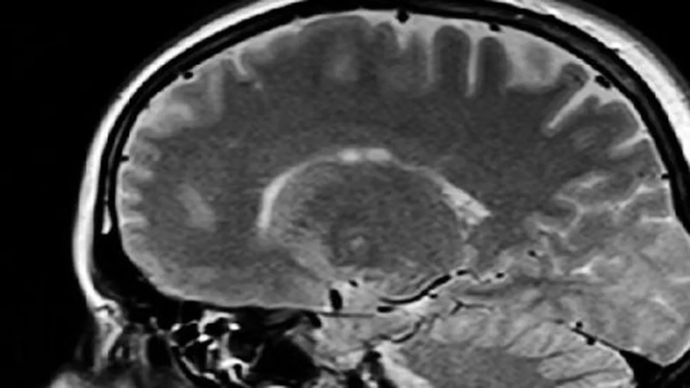
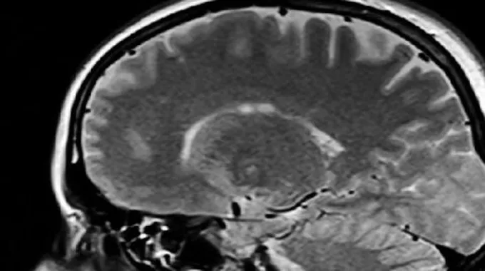
تشخيص نزيف المخ
يُعتبر تشخيص نزيف المخّ صعباً ما لم يرتبط بظهور علامات تدلّ عليه، إذ يلجأ المختصّون لإجراء عدد من الفحوصات في حال ظهور بعض العلامات على المريض كفقدان الإحساس، وصعوبة الكلام، أو عند الاشتباه بوجود جلطة دماغية، ومن أبرز هذه الفحوصات ما يأتي:[1][3]
- التصوير الطبقي المحوري (بالإنجليزية: Computed topography).
- التصوير بالرنين المغناطيسي (بالإنجليزية: Magnetic resonance imaging).
- البزل القطني (بالإنجليزية: Lumbar puncture): ويُستخدم هذا الإجراء لتأكيد أو نفي وجود نزيفٍ دماغيّ.
- تصوير الأوعية الدماغية (بالإنجليزية: Cerebral angiography): حيث يتمّ هذا الإجراء باستخدام الأشعة السينية (بالإنجليزية: X-rays)، بعد أن يتمّ حقن المريض بمادة صبغية تظهر بالتصوير.
علاج نزيف المخ
يتطلّب علاج نزيف المخ استقرار حالة المريض قبل القيام بأيّ تدخّلٍ جراحيٍّ، إذ تتمّ مراقبة الحالة الصحيّة للمريض بعناية شديدة، وتحقيق الاستقرار لضغط المريض، ونَفَسِه، وضربات قلبه، ونسبة الأكسجين في دمه، وذلك بإعطاء بعض العلاجات لجعل قياسات المريض ضمن الحدود المُستهدفة، وبعد أن تستقرّ حالة المريض يتمّ إدخاله لغرفة العمليات لإجراء عمليّة جراحية لإيقاف النزيف، ولكن يختلف التدخّل الجراحي تِبعاً لنوع النزيف وسببه، فمثلاً إذا كان سبب النزيف هو انفجار الأوعية الدموية المتمدّدة داخل الدماغ فهذا يتطلّب قطع هذه الأوعية (بالإنجليزية: Clipping) لإيقاف النزيف، حيث يتمّ هذا الإجراء بإزالة جزءٍ من الجمجمة، أمّا في بعض حالات النزيف فقد لا يتمّ اللجوء لإجراء عمليّةٍ جراحيّةٍ للمريض أساساً، بل يتمّ إعطاؤه بعض الأدوية التي تُقلّل من الانتفاخ الموجود في الدماغ، بالإضافة إلى بعض الأدوية المُخفّفة للآلام والأدويةَ المضادة لنوبات الصرع.[1][3]
مضاعفات نزيف المخ
هناك العديد من المضاعفات التي تنتج عن نزيف الدماغ، حيث إنّ النزيف يمنع الأعصاب من التواصل مع المناطق المسؤولة عن الإحساس، والحركة، والذاكرة، وغيرها من المناطق، وتختلف المضاعفات تِبعاً للمنطقة المتضرّرة من النزيف، ومن أبرز هذه المضاعفات ما يأتي:[3]
- الشلل.
- خدران أو ضعف في بعض أجزاء الجسم.
- صعوبة البلع.
- فقدان البصر.
- عدم القدرة على الكلام أو فهم الكلمات.
- فقدان الذاكرة.
- تغير في الشخصية أو وجود بعض المشاكل العاطفية.
طرق الوقاية من نزيف المخ
يرتبط نزيف المخّ بحدوث بعض المضاعفات التي قد تؤدي إلى الوفاة، إذ إنّ هناك بعض العوامل التي تزيد خطر الإصابة بنزيف المخ، ولتقليل خطر الإصابة يمكن اتباع ما يأتي:[2]
- الامتناع عن التدخين.
- المحافظة على انتظام ضغط الدّم.
- الابتعاد عن تناول المخدّرات.
- القيادة بهدوء، وارتداء حزام الأمان أثناء القيادة.
- المتابعة الدورية مع الطبيب عند تناول بعض الأدوية التي تؤثّر في ضغط الدّم كالوارفارين (بالإنجليزية: Warfarin).
المراجع
- ^ أ ب ت Danette C. Taylor, "Brain Hemorrhage (Brain Bleeding)"، www.medicinenet.com, Retrieved 5-2-2018. Edited.
- ^ أ ب ت Neil Lava, "Brain Hemorrhage: Causes, Symptoms, Treatments"، www.webmd.com, Retrieved 5-2-2018. Edited.
- ^ أ ب ت ث Brian Wu (24-4-2017), "Brain hemorrhage: Causes, symptoms, and treatments"، www.medicalnewstoday.com, Retrieved 5-2-2018. Edited.
المقال السابق: ما هو معدل الضغط الطبيعي للإنسان
المقال التالي: ما هي أول صحيفة مصرية
ما هو نزيف المخ: رأيكم يهمنا
0.0 / 5
0 تقييم
