ما هو الحمل العنقودي - فيديو
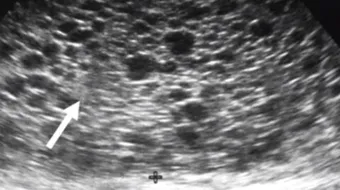
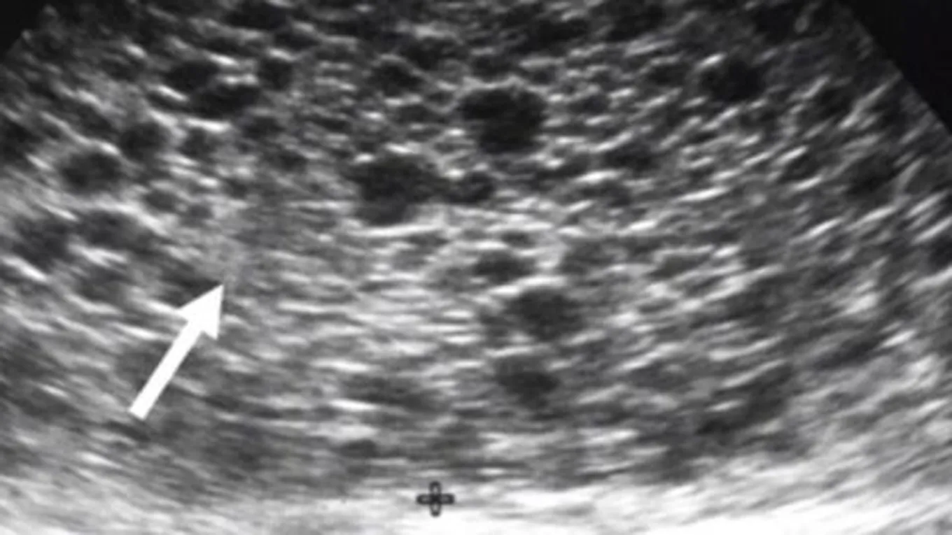
الحمل العنقوديهو أحد أنواع الحمل التي عادةً تستمر، ويُمكن أن تُؤدّي الى مُضاعفات للسيدة، وهو عبارة عن إخصاب حَيوانين منويين في بُويضة فارغة فيما يتسبّب في حدوث
الحمل العنقودي
هو أحد أنواع الحمل التي عادةً تستمر، ويُمكن أن تُؤدّي الى مُضاعفات للسيدة، وهو عبارة عن إخصاب حَيوانين منويين في بُويضة فارغة فيما يتسبّب في حدوث مُشكلة في عدد الكروموسومات. عند فَحص السيّدة المُصابة بالحمل العنقودي تكون نتيجة فحص الحمل إيجابيّةً، لكن لا يظهر الجنين على جهاز الالتراساوند.
مضاعفات الحمل العنقودي
- تجلّطات في الوريد.
- ارتفاع ضغط الدم.
- ارتفاع في الغدة الدرقية.
- يُمكن أن يُسبّب نزيف للسيدة.
مِن أهمّ مَشاكِل الحَمل العنقودي هي أنّه بعد أن يتمّ إجهاضُ الحملِ العنقوديّ يُمكن أن يَستمر، وهذا يُسمّى باستِمرار الحمل العنقودي، ويُمكن أن تَحتاج السيّدة إلى عِلاجٍ كيماوي؛ حيث تتمّ مُعالجة الحمل العنقودي المُستمر بأخذ الكيماوي؛ حيث إنّه يُعالج 99.9 من حالات الحمل العنقودي.
يَجب مُتابعة الحمل العنقودي عن طريق فحص الهِرمونات لمدّة سنة حتى يتمّ التأكّد من رُجوعه لطَبيعته.
د.رامي الكيلاني - استشاري نسائية وتوليد
المقال السابق: طريقة عمل البيتزا للرجيم
المقال التالي: معلومات عامة عن دولة النرويج
ما هو الحمل العنقودي - فيديو: رأيكم يهمنا
0.0 / 5
0 تقييم
