ما فائدة ضرس العقل
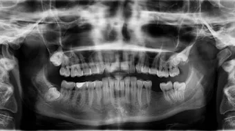
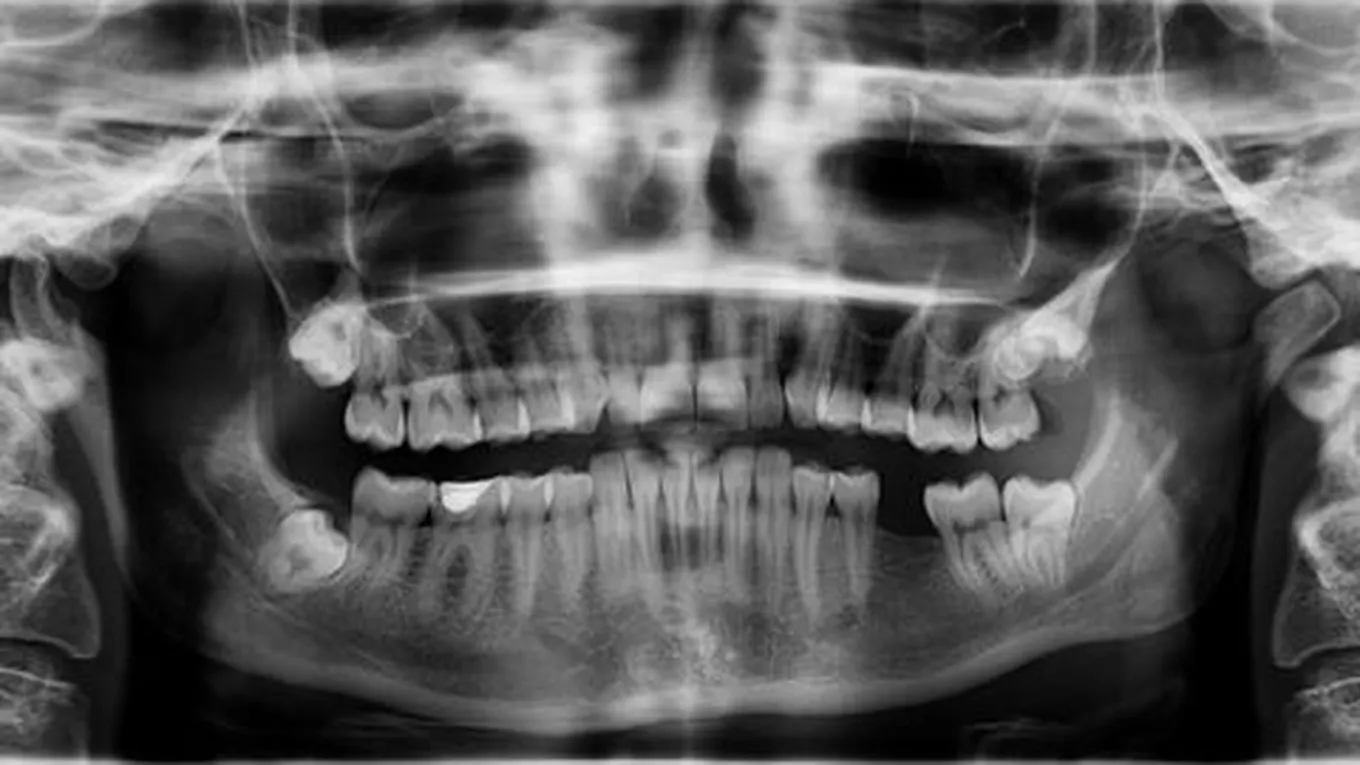
ضرس العقلضرس العقل هو الضرس الذي يظهر في مرحلة البلوغ عند الإنسان، أي أنّه يتكوّن في وقتٍ متأخّر عن الوقت الطبيعيّ، ما بين سن السابعة عشر وسن الخامسة والعشرين،
ضرس العقل
ضرس العقل هو الضرس الذي يظهر في مرحلة البلوغ عند الإنسان، أي أنّه يتكوّن في وقتٍ متأخّر عن الوقت الطبيعيّ، ما بين سن السابعة عشر وسن الخامسة والعشرين، وقد سمّي ضرس العقل بهذا الاسم لأنّه يظهر في فترة بلوغ الإنسان وعقلانيته، ويكون ضرس العقل مغموساً في اللثة عند أغلب الأشخاص، إلا أنه لا ينمو عند أشخاصٍ آخرين، وتكون هذه من الحالات النادرة جداً، ويعود السبب في انعدام ظهورها إلى امتلاكهم فكّاً صغيراً.
يعود السبب في قلة ظهور ضرس العقل إلى تغيّر النمط الغذائيّ في الوقت الحالي، فقد كان الناس قديماً، يتناولون الأطعمة القاسية وغير الناضجة، كاللحوم النيئة وغيرها، مما أثّر سلباً على طريقة نمو أسنانهم، لذلك ظهر ضرس العقل كبديل عن الأسنان التي تآكلت مع الوقت، أمّا في الحاضر فقد أدّى تناول الأطعمة الطرية والسهلة إلى نمو الأسنان بطريقةٍ صحيحة وسليمة، جعلتها أقلّ عرضةً للتآكل أو التكسر، لذلك لا يوجد مكان لنمو ضرس العقل، ولا مكان لوجوده.
ما فائدة ضرس العقل
هنالك العديد من الفوائد والوظائف التي يحملها ضرس العقل، بحيث تعود على الإنسان بالنفع، وخصوصاً إذا نمت تلك الأضراس في الوضع الطبيعيّ، وليس بشكلٍ مائل أو أفقي، حيث يمتلك كلّ إنسانٍ أربعة أضراس عقليّة، إثنان منهما في الفكّ العلوي، واثنان في الفكّ السفلي، فقد أثبتت الدراسات أن خلع ضرس العقل السليم والخالي من التسوّس والمشاكل، يؤدي إلى حدوث مضاعفات جانبيّة كبيرة، كما أنها تؤثر على سلامة الأسنان وصحتّها، وهنا سيخطر ببالنا هذا السؤال، ما فائدة ضرس العقل:
المساعدة على المضغ
يعد ضرس العقل السليم من الأسنان ذات الأهمية الكبيرة، والتي يعتمد عليها الإنسان في عمليّة المضغ، وخصوصاً أنه من الأضراس القويّة والمتينة، وإذا أصيب هذا الضرس بالتسوّس أو أيّة مشاكل أخرى، فإنّه يعالج بكلّ سهولة، حاله حال الضرس الطبيعيّ.
دعامة أساسية للأسنان الاصطناعيّة
يعتمد الأطباء بشكلٍ أساسيّ على ضرس العقل السليم أثناء تركيب الأسنان الاصطناعيّة، فقد يلجأ الكثير من الناس إلى تركيب أسنان اصطناعيّة نتيجةً لتعرض أسنانهم لأضرار كبيرة، يضطر إلى خلعها والتخلّص منها.
مشاكل ضرس العقل
يؤدّي ضرس العقل إلى العديد من المشاكل لدى بعض الأشخاص، وخصوصاً إذا ظهر بصورةٍ غير طبيعيّة، كأن ينمو بشكلٍ أفقيٍ أو مائلٍ، ومن هذه المشاكل ما يلي:
- الالتهابات الشديدة، وخصوصاً في منطقة اللثة، والأسنان المجاورة لضرس العقل.
- نمو ضرس العقل تحت اللثة، مما يؤدي إلى انتفاخ اللثة في تلك المنطقة، ويرافقه ألماً داخليّاً، مع الشعور بصداعٍ شديد.
المقال السابق: وصفات للتخلص من حبوب الوجه
المقال التالي: كيفية تأدية صلاة الاستخارة
ما فائدة ضرس العقل: رأيكم يهمنا
0.0 / 5
0 تقييم
