ما سبب ظهور بقع بيضاء على الأسنان
البقع البيضاء على الأسنانتظهر البقع البيضاء على الأسنان على شكل نقاط متفرقة على الأسنان باللون الأصفر أو الأبيض الفاتح أو البني، وتختلف عن تبدل اللون العام
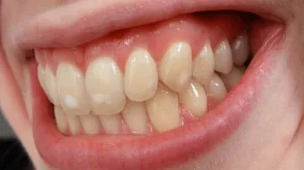
البقع البيضاء على الأسنان
تظهر البقع البيضاء على الأسنان على شكل نقاط متفرقة على الأسنان باللون الأصفر أو الأبيض الفاتح أو البني، وتختلف عن تبدل اللون العام للسن، فتبدل لون السن بالكامل يدل على شيء وعارض آخر، ومن الضروري التفريق بين هذه العلامتين.
تعتبر البقع البيضاء على الأسنان حالة يمكن علاجها من قبل طبيب الأسنان الذي يختار طريقة العلاج المناسبة حسب شدة الحالة، ومن طرق العلاج المعروفة هي العلاج بالفلورايد أو عن طريق الربط السني أو بواسطة طريقة تسمى علمياً باسم porcelain laminate) placement).
معلومات عن بقع الأسنان البيضاء
أسباب ظهور البقع البيضاء على الأسنان
- حالات سوء التغذية.
- أسباب جينية أي وراثية.
- زيادة نسب الفلورايد في الجسم.
- نمو الأسنان اللبنية عند الأطفال.
- ظهورها بعد إزالة تقويم الأسنان.
- وجود مناطق غير متكلسة في مينا الأسنان، فتؤدي هذه المشكلة إلى تدهور صحة الأسنان لذا يجب علاجها بسرعة قبل تفاقمها، كما تحب مراجعة الطبيب فور ظهور أول بقعة بيضاء على الأسنان لأنّها كما حذر أطباء الأسنان من أول العلامات التي تدل على قرب تلف الأسنان، خاصةً إن كان سبب ظهورها هو بسبب حدوث تغييرات في محتوى المعدن في جسم الإنسان غالباً في عمر الطفولة، حيث يؤدي عدم علاج الأسنان في هذه الحالة إلى تلف في طبقة مينا الأسنان.
- الإصابة بتسمم الأسنان بالفلور والذي يصيب الإنسان عند تناول مفرط لمادة الفلورايد، وتظهر هذه الحالة عند الأشخاص الذين يقطنون في مناطق تحتوي مياه الشرب فيها على نسب عالية من الفلورايد.
طرق التخلص من البقع البيضاء على الأسنان
- راجع الطبيب عند ظهور البقع للتأكد من سببها وعلاجه، لكن توجد طرق قد تساعد على التخلص منها أو الوقاية منها وهي كالآتي: اغسل أسنانك ثلاث مرات يومياً على الأقل وبعد تناول وجبات السكريات، واشرب كميات كافية من المياه وامتنع عن تعريض جسمك للعطش والجفاف.
- لا تكثر من تناول الأطعمة الغنية بالأحماض المضرة بالصحة وصحة الأسنان على وجه الخصوص، واشرب العصائر الحامضة مثل عصير البرتقال أو الليمون بواسطة الماصة لتقلل تعرضها للأسنان.
- زر طبيب الأسنان بشكل دوري وكل ستة أشهر لفحص صحة أسنانك وتنظيف طبقة الجير التي قد تكون متراكمة مع الوقت على أسنانك.
- لا تقم بعمليات تبييض الأسنان إلا تحت إشراف طبيب مختص ومعروف، لأنّ تبييض الأسنان بنسبة الفلورايد الزائدة عن النسبة الموصى بها تؤذي طبقة المينا وتسبب تآكلها، وتغير لون الأسنان الطبيعي.
المقال السابق: مقال عن عيد الأم
المقال التالي: الياقوت
ما سبب ظهور بقع بيضاء على الأسنان: رأيكم يهمنا
0.0 / 5
0 تقييم
