ما علاج ضمور المخ
كثيراً ما نسمع عن إصابة بعض الأشخاص بضمور في المخ، فما هو ضمور المخ؟ وما هي الأسباب التي تؤدّي إلى الإصابة به؟ وما أعراضه؟ وكيف يمكن علاجه؟
كثيراً ما نسمع عن إصابة بعض الأشخاص بضمور في المخ، فما هو ضمور المخ؟ وما هي الأسباب التي تؤدّي إلى الإصابة به؟ وما أعراضه؟ وكيف يمكن علاجه؟
ضمور المخ
هو تلف وخلل وفقدان وتآكل لخلايا المخ بشكلٍ كامل أو جزئيّ، أو موت الخلايا التي تصل بينهم، وينتج عنه عدم القدرة على التّركيز وفقدان القدرة على القيام بالعمليّات الإراديّة وعمليّات التفكير والتركيز، ويعدّ مرض ضمور المخ من الأمراض العصبيّة التي تصاب بها الأعصاب، ويكون المصاب عرضةً بشكل كبير إلى الأمراض الّتي تؤثّر على الوظائف الرئيسيّة للدماغ.
أسباب الإصابة بضمور المخ
- الإصابة بتلف خلايا المخ والضمور بسبب الإصابة بالشلل الدماغي.
- إصابة الشخص بالسكتة الدماغيّة.
- الإصابة بالتصلّب المتعدّد.
- مرض الصر.
- خلل في الدماغ المتقدّري والعضلات.
- الإصابة بمرض الإيدز أي نقص المناعة المكتسبة.
- الإصابة بمرض طرابة الّذي يسبّب حثل المادة البيضاء وتدمير النخاعين.
- الإصابة بالخرف الشيخوخي ومرض الزهايمر.
- الإصابة بعدوى معيّنة.
- حدوث التهاباتٍ في الدماغ.
- الأمراض الوراثيّة مثل: السكّري والالتهابات، أو نقص الأوكسجين والغذاء أثناء تواجد الجنين في رحم أمّه.
أعراض الإصابة بضمور المخ
يشعر المريض بضمور المخ بعدّة أعراض وهي:
- حدوث نوبات من عدم التركيز وحدوث التشنجات.
- الإصابة بحالة من عدم الوعي والنوبات.
- انخفاض القدرة على الاستيعاب والتعلّم.
- ظهور إعاقات في الفم، وعدم القدرة على التعبير والكلام واللغة، واستخدام عبارات غير منطقيّة.
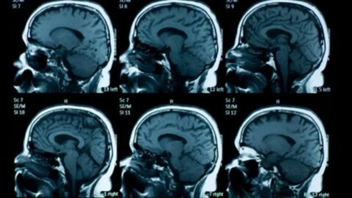
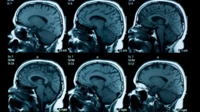
- فحص وتشخيص حالة المريض عن طريق زيارة الطّبيب، وعمل رنين مغناطيسي وتصوير طبقي للمخ.
- نوبات الصّرع وفقدان الذاكرة.
كيفية علاج ضمور المخ
- التوقّف عن تناول المشروبات الكحوليّة والمنبّهات كالقهوة والشاي.
- تناول الأدوية الّتي يتمّ وصفها من قبل الطبيب والمداومة على استخدامها.
- التدريب على الكلام ليتمّ العلاج الكلامي بالشّكل الصحيح والمطلوب.
- وقاية الرأس من الإصابات والرضّات.
- تناول الأطعمة الصحيّة والأطعمة الّتي تحتوي على فيتامين أ.
- القيام بعمل تمارين خاصّة لتنشيط الدماغ.
- تناول المكسرات وصفار البيض والأناناس لاحتوائه على المنجنيز.
- استخدام البصل بمعدّل مرّتين في اليوم: مرّةً صباحاً، ومرّةً مساءً.
- استخدام حبوب الخردل لعلاج الضمور عند الأطفال عن طريق طحن ملعقتين من الخردل ووضعهما مع الماء حتّى الغليان، ثمّ وضعه في الماء المخصّص لاستحمام الطفل.
- تناول فصّين من الثوم أو القليل من الزنجبيل الطازج.
- القيام بالرّياضات البدنية التي تزيد من تدفّق الدم إلى المخ.
- تعليم السباحة للطّفل المصاب بالضمور في المخ.
- المشي على الرّمال خاصّةً على الرمال المبلّلة بمياه الأمطار من دون حذاء؛ لأنّ المشي يعمل على تفريغ الشحنات.
المقال السابق: ما علاج ضربات القلب السريعة
المقال التالي: ما علاج قرحة المعدة
ما علاج ضمور المخ: رأيكم يهمنا
0.0 / 5
0 تقييم
