ما علاج التهاب اللثة
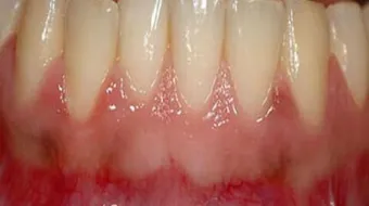
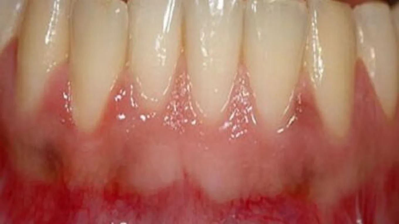
التهاب اللثةيُعدّ التهاب اللثة من أمراض اللثة الشائعة والتي تظهر على شكل حدوث احمرارٍ وانتفاخٍ في اللثة،[1] ويرافق ذلك نزف الدم منها بسهولةٍ عند تفريش الأسنان
التهاب اللثة
يُعدّ التهاب اللثة من أمراض اللثة الشائعة والتي تظهر على شكل حدوث احمرارٍ وانتفاخٍ في اللثة،[1] ويرافق ذلك نزف الدم منها بسهولةٍ عند تفريش الأسنان أو تنظيفها بخيط الأسنان، ويجب التفريق بين التهاب اللثة (بالإنجليزية: Gingivitis) والتهاب دواعم الأسنان (بالإنجليزية: periodontitis)، فالتهاب اللثة يصيب اللثة المحيطة بالأسنان، في حين أنّ التهاب دواعم السن يصيب أيضاً العظم المحيط بالأسنان،[2] وفي حال إهمال معالجة التهاب اللثة فإن الالتهاب يتطور ليصيب دواعم السن، وبحسب الجمعية الأمريكية لطب الأسنان فإن التهاب اللثة والتهاب دواعم السن يُعدّان أهمّ أسباب فقد الأسنان عند البالغين،[3] وعلى الرغم من إمكانيّة تطور التهاب اللثة إلى التهابٍ في دواعم الأسنان، إلّا أنّ هذا الأمر ليس ضروريّ الحدوث.[4]
علاج التهاب اللثة
يقوم علاج التهاب اللثة على مبدأ إزالة جميع العوامل التي تؤدي إلى ظهور الالتهاب،[2] ويمكن تصنيف العلاج إلى ثلاث فئاتٍ رئيسيّة كما يلي:
تنظيف الأسنان
لا بُدّ من تنظيف الأسنان لإزالة طبقة البلاك والجير التي تسبب تهيُّج اللثة،[3] ويتم ذلك في عيادة الرعاية السنية،[2]، ويتم القيام بتنظيف الأسنان إمّا باستخدام الأدوات اليدوية، أو جهاز الموجات فوق الصوتية، أو الليزر، ويشمل التنظيف العمليات الآتية:[5][3]
- تقليح الرواسب الكلسية أو الجير (بالإنجليزية: Scaling) فوق وتحت اللثة.
- كشط الجذر (بالإنجليزية: Root planing): وفيه تتم إزالة النتوءات الملوثة على سطح الجذر، ثمّ يتم تنعيمه.
- استعمال الليزر (بالإنجليزية: Laser): ويُعتبر الليزر أقل ألماً للمريض ولا يتسبب بنزف الدم بكثرة.
استخدام الأدوية
هناك مجموعة من الأدوية التي تُستخدم لعلاج التهاب اللثة، ومنها ما يلي:[3]
- الغسولات الفموية المحتوية على مادة الكلورهكسيدين (بالإنجليزية: chlorhexidine) والتي تحتوي على خصائص علاجيةٍ ولها تأثيرٌ في تعقيم الفم.
- الرقاقات المعقمة (بالإنجليزية: antiseptic chips)، وتحتوي هذه الرقاقات على مادة الكلورهكسيدين التي يتم إطلاقها من الرقاقة الى اللثة مع مرور الوقت بعد وضعها داخل الجيب اللّثوي بعد كشط الجذر.
- المضادات الحيوية، وتستخدم لعلاج المناطق الملتهبة لفترةٍ طويلة، من هذه المضادات الحيوية الدوكسيسيكلن (بالإنجليزية: Doxycycline).
العلاج الجراحي
تتم معالجة التهاب اللثة في بعض الأحيان عن طريق إجراء بعض الإجراءات الجراحية، ومنها ما يلي:[6]
- الجراحة السديلية (بالإنجليزية: Flap surgery): ويتم في هذا النوع من الجراحة رفع اللثة جراحياً حتى يتسنى إزالة ما تحتها من الجير، ثم تتم تسوية الحواف العظمية في حال وجودها غير منتظمة الشكل، ويساعد ذلك على إلغاء الأماكن التي تعطي للبكتيريا فرصةً للاختباء فيها، ويتم بعد ذلك إرجاع اللثة لتحيط السن وتلغي الفراغ المتكون بين اللثة والسن، وتسمى هذه العملية أيضاً عملية اختزال الجيب اللّثوي (بالإنجليزية: pocket reduction surgery).
- التطعيمات العظمية وتطعيمات الأنسجة الرخوة (بالإنجليزية: Bone grafts and Soft tissue grafts): حيث يتم وضع قطعٍ منفصلةٍ من العظم من الشخص نفسه، أو من متبرعٍ، أو قد تكون التطعيمات تطعيماتٍ عظميةً صناعيةً لتعويض العظام في المناطق التي تدمّر فيها نتيجة التهاب اللثة، كما يتم وضع تطعيماتٍ لثويةٍ في المناطق التي تعاني من انحسار اللثة أو التي يكون فيها سمك اللثة ضئيلاً، ويتم أخذ التطعيمة اللثوية عادةً من اللثة التي تغطي سقف الحلق.
أسباب التهاب اللثة
إن السبب الرئيسيّ وراء التهاب اللثة هو تجمع أو تكوّن طبقة البلاك،[4] ويُعتبر البلاك طبقة رقيقة من البكتيريا التي تتجمع على أسطح الأسنان، ويؤدي تجمع البلاك تحت مستوى اللثة الى حدوث الالتهاب، كما أن إهمال إزالة البلاك يؤدي الى تصلُّبه مكوناً بذلك ما يعرف بجير الأسنان، وعند إهمال الالتهاب وتركه دون علاجٍ فإنّ ذلك يؤدي الى انفصال اللثة عن السن، وقد يتطورالأمر ليصل إلى مرحلة إلحاق الضرر بالأنسجة الرخوة والعظم الداعم للأسنان، مما يؤدي الى عدم استقرار السن والذي بدوره قد يؤدي الى فقدان السن،[3] وهناك العديد من العوامل التي تُساهم في حدوث التهابٍ في الثة، ومن هذه العوامل ما يلي:
- التدخين ومضغ التبغ، حيث يقوم كلاهما على تقليل قدرة اللثة على الالتئام.[2]
- الأماكن التي يصعب تنظيفها والتي تُشكل بيئة مناسبة لتجمع البلاك والجير، وتنتج هذه الأماكن من عدم انتظام ترتيب الأسنان، أي الأسنان المائلة والمعوجّة.[2]
- العادات الغذائية السيئة مثل تناول الأطعمة الغنية بالسكريات والكربوهيدرات، وقليلة المحتوى المائي، والتي من شأنها أن تزيد فرصة تكوّن طبقة البلاك، وتجدر الإشارة إلى أنّ قلة تناول الأطعمة الغنية بفيتامين سي قد يؤخّر التئام اللثة أو يمنعه.[2]
- بعض أنواع الأدوية والأمراض، ومنها أدوية الصرع (بالإنجليزية: Epilepsy)[2] مثل الفينيتوين (بالإنجليزية: phenytoin)، وكذلك بعض أدوية الذبحة الصدرية وارتفاع ضغط الدم، ومن هذه الأدوية حاصرات قنوات الكالسيوم (بالإنجليزية: calcium channel blockers)، وكذلك بعض الأدوية المستخدمة في علاج السرطان، أما الأمراض التي تؤدي الى حدوث التهاب اللثة فمنها الأمراض التي تؤدي الى خفض مناعة الجسم مثل الإيدز واللوكيميا، وبعض الإنتانات الفيروسية والفطرية، والسرطانات.[1].
- مرض السكري، وذلك بسبب إضعاف السكري للدورة الدموية مما يُقلّل من قدرة اللثة على الالتئام.
- تغير الهرمونات، إذ يؤدي تغيّر الهرمونات إلى زيادة حساسية اللثة وجعلها أكثر قابليةً لحدوث الالتهاب، كما هو الحال خلال فترة الحمل، والدورة الشهرية، وعند البلوغ، وفي سن الأمل،[4] وتجدر الإشارة إلى أنّ أمراض اللثة تُشكّل ما نسبته 70-90% في سنّ البلوغ.[2]
- التوتر والقلق، لما لهما من قدرةٍ على إضعاف مناعة الجسم.[2]
- جفاف الفم، والتنفس عن طريق الفم.[2]
الوقاية من التهاب اللثة
للوقاية من التهاب اللثة لا بد من اتباع الأمور الآتية:
- تفريش الأسنان مرتين في اليوم، ولنتيجةٍ أفضل يُنصح بتفريش الأسنان بعد كلّ وجبة طعام،[5] حيث إن تفريش الأسنان يساعد على إزالة بقايا الطعام العالقة وطبقة البلاك أيضاً، ويُستحسن أيضاً تنظيف اللسان لكونه مكاناً ملائماً لنمو البكتيريا،[7] ومن الجدير بالذكر أنّ استخدام فرشاة الأسنان الكهربائية لها فعاليّة أكبر في إزالة البلاك والجير، ولا بد من التنويه إلى أنّ فرشاة الأسنان تغدو بحاجةٍ للتغيير كل 3-4 أشهرٍ.[5]
- التنظيف بين الأسنان باستخدام خيط الأسنان الطبي، إذ لا تستطيع فرشاة الأسنان تنظيف الفراغات بين الأسنان، ويُنصح باستخدام خيط الأسنان على الأقلّ مرةً واحدةً في اليوم.[7]
- استخدام الغسول الفموي، إذ إنّ له القدرة على إزالة بقايا الطعام التي لا تزال موجودة حتى بعد استخدام فرشاة الأسنان وخيط الأسنان الطبيّ.[7]
- الامتناع عن مضغ التبغ والتدخين.[5]
- القيام بتنظيف الأسنان بشكلٍ دوريٍّ في عيادة طبيب الأسنان.[5]
المراجع
- ^ أ ب Mayo Clinic Staff (4-8-2017), "Gingivitis"، www.mayoclinic, Retrieved 12-10-2017. Edited.
- ^ أ ب ت ث ج ح خ د ذ ر Steven B. Horne (31-12-2014), "Gum Disease (Gingivitis)"، www.medicinenet, Retrieved 10-10-2017. Edited.
- ^ أ ب ت ث ج Healthline Editorial Team (13-5-2015), "Gum Disease (Gingivitis)"، www.healthline, Retrieved 10-10-2017. Edited.
- ^ أ ب ت Michael Friedman (24-1-2017), "Gingivitis and Periodontal Disease (Gum Disease)"، www.webmd, Retrieved 10-10-2017. Edited.
- ^ أ ب ت ث ج Mayo Clinic Staff (4-8-2017), "Gingivitis"، www.mayoclinic.org, Retrieved 31-10-2017. Edited.
- ↑ Michael Friedman (24-5-2016), "Treatments for Gum Disease"، www.webmd.com, Retrieved 31-10-2017. Edited.
- ^ أ ب ت American Academy of Periodontology, "PREVENTING PERIODONTAL DISEASE"، www.perio.org, Retrieved 2-11-2-17. Edited.
- ↑ فيديو عن التهاب اللثة.
المقال السابق: ما هو سبب سيلان اللعاب أثناء النوم
المقال التالي: ما هو سبب تسوس الأسنان
ما علاج التهاب اللثة: رأيكم يهمنا
0.0 / 5
0 تقييم
