متى يظهر ضرس العقل
ضرس العقلسمي ضرس العقل لأنّه يظهر بوقت متأخّر عن نمو باقي الأسنان وهو آخر الأسنان الطبيعية، حيث إنّ يبدأ الشعور بوخز ضرس العقل من عمر السادسة عشرة ويستمر
ضرس العقل
سمي ضرس العقل لأنّه يظهر بوقت متأخّر عن نمو باقي الأسنان وهو آخر الأسنان الطبيعية، حيث إنّ يبدأ الشعور بوخز ضرس العقل من عمر السادسة عشرة ويستمر بالظهور لعدة سنوات متتالية يعتبر العمر الطبيعي لظهور هذا الضرس هو ما بين (سن السابعة عشرة حتى عمر الخامسة والعشرين) ولكن هناك بعض الحالات النادرة والشاذه لظهظر هذا الضري وفيما يلي سوف نتحدث عن أعراض ظهور ضرس العقل وما هي طرق العلاج وابتخفيف من الألم.
يبدأ ظهور ضرس العقل بفترة البلوغ بمرحلة النضوج الفكري والعقلي لهذا جاءت تسميته بضرس العقل، يعتقد الجميع أنّ لا فائدة من هذه الأضراس سوى الألم ولكن هذه الأضراس لم توجد عبثاً حيث أنها تعمل على تقريب الأسنان لبعضها البعض، وتمنع تراكم الأطعمه بهذه الحالة بين الأسنان وتغلق كامل الفراغات ويصبح بهذه الحالة شكل الفم والأسنان أجمل من قبل.
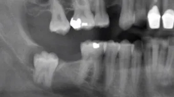
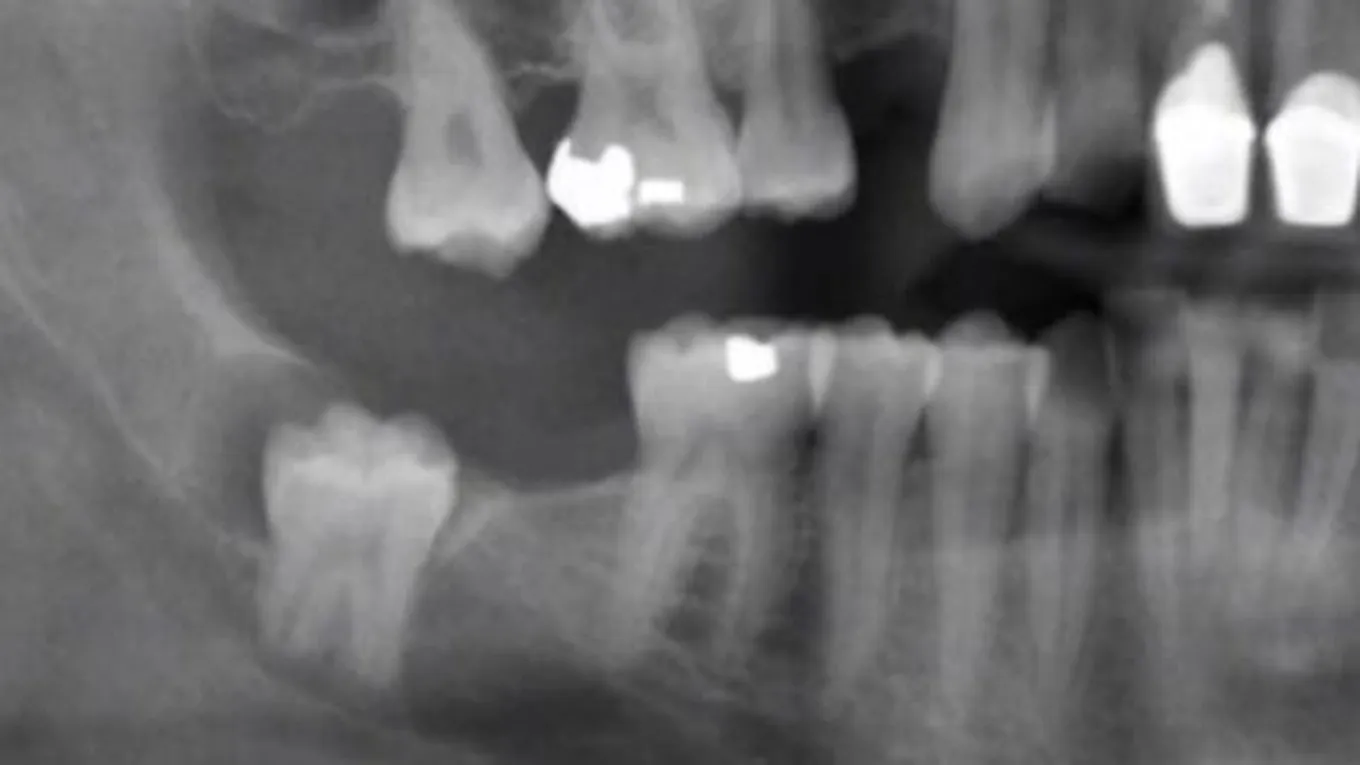
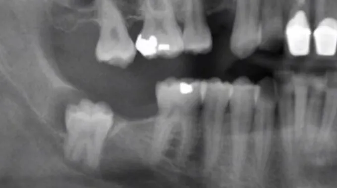
إن عدد الأضراس التي تظهر للإنسان الطبيعي هي أربعة ، اثنين بالفك السفلي واثنين بالفك العلوي وتظهر بأوقات مختلفة ضمن المرحلة العمرية الطبيعية التي تبدأ بها نمو الاضراس ولكن هناك بعض الحالات النادرة لنموها عند بعض الأشخاص وهي ظهورها كاملة بوقت قصير خلال سنة واحدة وبدون أي ألم وأعراض ومنهم من تتأخر لسن 35 تقريباً، يعتبر ألم الأضراس من الآلام الشديدة التي لا يستطيع الغنسان تحملها وتعود أسباب هذه الآلام لعم بزوغها بشكل صحيح بالفك حيث إنّه يطهر جزء منها أعلى اللثة والجزء الأكبر يبقى تحت عظام الفك وبهذه الحالة يحتاج لوقت طويل ليخرج ويبقى يسبب الوخز والألم من وقت لأخر.
أسباب عدم ظهور أضراس العقل
- الحجم الصغير للفك الذي لا يسمح بنموه بشكل سليم.
- عدم ظهور البرعم النامي منذ البداية وبقائه تحت عظمة الفك.
- نمو ضرس العقل بشكل مائل أو غير عشوائي مما يسبب الكثير من الألم.
أعراض ظهور أضراس العقل
- حدوث التهابات باللثة من وقت لأخر وتكون الصديد حول الأسنان.
- الإصابة بالتورم والإنتفاخ الشديد عند أول محاولة لظهور السن.
- عدم القدرة على فتح الفم بشكل سهل ومريح.
- الشعور بالألم الشديد بالفك كامل.
- امتداد الألم للأذن والعين.
- الشعور بالصداع المزمن المستمر على اتجاه ظهورضرس العقل.
يظهر ضرس العقل كباقي الـأضراس بالفك سليمة وصحية ولكن بسبب ضيق الفك أثناء ظهورها تجعلها عرضة للتسوس والتلف حيث لأنها يمكن أن تنمكو بشكل مائل يؤثر على السن المجاور مما يؤدي بهذه الحالة للتخلص من الضرسين بسبب الألم الشديد الذي تسببه هذه الحالة، غير أنّ جميع الأشخاص يلجؤون لخلع ضرس العقل بسبب تسوسه الكبير لعدم القدرة على ادخال الفرشاة لأخر الفك مما يؤدي لتجمع بقايا الطعام وهي البيئة المناسبة لنمو البكتيريا التي تسبب العديد من الاتهابات بالفم وتسوس الأضراس، يتم خلع أضراس العقل بشكل طبيعي عند طبيب الأسنان بحالة ظهور نسبة كبيرة منه أما بحالة عدم ظهوره وبقائه نامياً تحت اللثة فيتم إجراء جراحة لخلعه عن طريق عمل شق صغير من ثم خلع الضرس ويتم المعالجة بعد ذلك بتناول المسكنات وتناول المثلجات لوقف النزيف وبعض المضادات الحيوية.
المقال السابق: أين يقع برج بيزا المائل
المقال التالي: أين يقع أطول برج في العالم
متى يظهر ضرس العقل: رأيكم يهمنا
0.0 / 5
0 تقييم
