البقع البيضاء في الأسنان
الأسنانمن أكثر ما يلفت النظر في وجه الإنسان هي الأسنان، والتي تعد من أكثر ما يجذب الآخر إليك، وتعكس صورتك في ذهنه، لذلك يجب الحفاظ عليها جملية وجذابة، ولكن قد
الأسنان
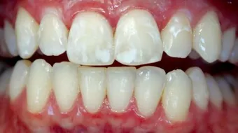
من أكثر ما يلفت النظر في وجه الإنسان هي الأسنان، والتي تعد من أكثر ما يجذب الآخر إليك، وتعكس صورتك في ذهنه، لذلك يجب الحفاظ عليها جملية وجذابة، ولكن قد تتعرض الأسنان لبعض المشاكل، مثل: ظهور بقع بيضاء مُزعجة عليها، الأمر الذي يشكل إحراجاً للمصاب بها، حيث يكون هناك فارقٌ في لون السن الواحد، وتكون دليلاً على فقدان بعض المعادن المهمة للحفاظ على صحتها وتكون إشارة لبداية تكلُس الأسنان، لذلك سنذكر في هذا المقال بعض الأسباب التي تؤي إلى ظهور هذه البقع أو ما يُسمى بتفلور الأسنان، وبعض النصائح للحفاظ على أسنان جميلة وجذَّابة.[1]
أسباب ظهور بقع بيضاء على الأسنان
من أسباب ظهور بقع بيضاء على الأسنان:[2]
- عدم العناية بالأسنان، والمحافظة على نظافتها، حيث تتراكم بقايا الطعام عليها وتُسبب ظهور تكلُساتٍ عليها.
- تناول كمياتٍ كبيرة من المياه المعدنية، التي تحتوي على نسبةٍ عالية من مادة الفلورايد، حيث إنّ زيادتها تؤدي إلى حدوث تجاويف بيضاء على الأسنان.
- تناول بعض الأطعمة التي تضر بالأسنان، وتُسبب تكلسها، مثل: الليمون والأطعمة التي تحتوي على أحماض بشكلٍ كبير، وشرب المياه الغازية.
- جفاف الفم، حيث يسهم في نمو البكتيريا على الأسنان، وتسبب لها بقعاً بيضاء مُزعجة.
- إصابة الإنسان ببعض الأمراض التي تؤثر سلباً عليه، مثل: السرطان والسكري.
نصائح للحفاظ على صحة الأسنان
للحفاظ على صحة الاسنان يمكن اتباع التالي:[3]
- المحافظة على نظافة الأسنان وتنظيفها بشكلٍ مُستمر بما لا يقل عن ثلاث مرات في اليوم، واستخدام معجون الأسنان الذي بُناسبنا ويحتوي على مادة فلورايد بنسبةٍ مناسبة، ويُفضل عدم استخدام معجون الأسنان للأطفال حتّى عُمر السنتين، بل تدريبهم على تنظيف أسنانهم باستخدام فرشاة مبللة بالماء.
- تجنب أكل الأطعمة التي تحتوي على نسبٍ عالية من الأحماض بكثرة، والحرص على تنظيف الأسنان بعد تناولها مباشرة.
- الابتعاد عن المشروبات الغازية، التي تُلحق الأضرار بالأسنان بشكلٍ عام، وتسبب تسوسها وضعفها.
- تناول غذاء صحي متوازن يحتوي على العناصر الغذائية والفيتامينات التي تسهم في المحافظة على صحة الأسنان، مثل: الكالسيوم.
- شرب المياه بكميات مناسبة، والابتعاد عن المياه المعدنية، التي تحتوي على نسبٍ عالية من الفلورايد.
- الحرص على تغيير فراشاة الأسنان بين الفترة والأخرى، وعدم استخدام فرشاة الآخرين، لتجنب الإصابة بامراض الأسنان والعدوى البكتيرية.
- عدم استخدام خلطات تبيض الأسنان بشكلٍ كبير، لأنها قد تؤثر سلباً على صحة الأسنان، وعدم تنظيفها بالأساليب الحديثة كالليزر إلا بعد استشارة الطبيب.
- استخدام محلول خل التفاح في الغرغرة، للمحافظة على بياض وصحة الأسنان.
المراجع
- ↑ "Picture of the Teeth", www.webmd.com, Retrieved 30-10-2018. Edited.
- ↑ "Eleven tips to treat white spots on teeth", www.medicalnewstoday.com, Retrieved 30-10-2018. Edited.
- ↑ "Taking Care of Your Teeth and Mouth", www.nia.nih.gov, Retrieved 30-10-2018. Edited.
المقال السابق: علاج انخفاض ضغط الدم المزمن
المقال التالي: فوائد الطماطم للكبد
البقع البيضاء في الأسنان: رأيكم يهمنا
0.0 / 5
0 تقييم
